Cookie preferences
This website uses cookies, which are necessary for the technical operation of the website and are always set. Other cookies, which increase the comfort when using this website, are used for direct advertising or to facilitate interaction with other websites and social networks, are only set with your consent.
Configuration
Technically required
These cookies are necessary for the basic functions of the shop.
"Allow all cookies" cookie
"Decline all cookies" cookie
CSRF token
Cookie preferences
Currency change
Customer-specific caching
FACT-Finder tracking
Individual prices
Selected shop
Session
Comfort functions
These cookies are used to make the shopping experience even more appealing, for example for the recognition of the visitor.
Note
Show the facebook fanpage in the right blod sidebar
Statistics & Tracking
Affiliate program
Conversion and usertracking via Google Tag Manager
Track device being used
| Item number | Size | Datasheet | Manual | SDS | Delivery time | Quantity | Price |
|---|---|---|---|---|---|---|---|
| IHC-00583-T | 10 µl (1 µg) | - |
2 - 8 business days* |
165.00€
|
|||
| IHC-00583 | 100 µl (10 µg) | - |
2 - 8 business days* |
621.00€
|
If you have any questions, please use our Contact Form.
You can also order by e-mail: info@biomol.com
Larger quantity required? Request bulk
You can also order by e-mail: info@biomol.com
Larger quantity required? Request bulk
Protein function: Binds to the dendritic targeting element and may play a role in mRNA... more
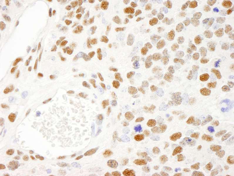
Product information "Anti-KSRP (IHC)"
Protein function: Binds to the dendritic targeting element and may play a role in mRNA trafficking. Part of a ternary complex that binds to the downstream control sequence (DCS) of the pre-mRNA. Mediates exon inclusion in transcripts that are subject to tissue-specific alternative splicing. May interact with single- stranded DNA from the far-upstream element (FUSE). May activate gene expression. Also involved in degradation of inherently unstable mRNAs that contain AU-rich elements (AREs) in their 3'- UTR, possibly by recruiting degradation machinery to ARE- containing mRNAs. [The UniProt Consortium]
| Keywords: | Anti-p75, Anti-KSRP, Anti-FUBP2, Anti-KHSRP, Anti-FUSE-binding protein 2, Anti-KH type-splicing regulatory protein, Anti-Far upstream element-binding protein 2 |
| Supplier: | Bethyl Laboratories |
| Supplier-Nr: | IHC-00583 |
Properties
| Application: | IHC |
| Antibody Type: | Polyclonal |
| Conjugate: | No |
| Host: | Rabbit |
| Species reactivity: | human, mouse (Expected: bovine, dog, horse, guinea pig, swine, panda, orangutan, rhesus monkey, gorilla, chimpanzee, white-tufted-ear marmoset, crab-eating macaque, european domestic ferret, small-eared galago, little brown bat) |
| Immunogen: | synthetic peptide. The epitope recognized by IHC-00583 maps to a region between residue 100 and 150 of human KH-type splicing regulatory protein using the numbering given in entry Q92945.3 (GeneID 8570). |
| Format: | Antigen Affinity Purified |
Database Information
| KEGG ID : | K13210 | Matching products |
| UniProt ID : | Q92945 | Matching products |
| Gene ID : | GeneID 8570 | Matching products |
Handling & Safety
| Storage: | +4°C |
| Shipping: | +4°C (International: +4°C) |
Caution
Our products are for laboratory research use only: Not for administration to humans!
Our products are for laboratory research use only: Not for administration to humans!
Information about the product reference will follow.
more
You will get a certificate here
Viewed