Anti-KMT1B / SUV39H2

Item number Size Datasheet Manual SDS Delivery time Quantity Price
ARG54750.100 100 µl - -

6 - 14 business days*

616.00€
 
Protein function: Histone methyltransferase that specifically trimethylates 'Lys-9' of histone H3... more
Product information "Anti-KMT1B / SUV39H2"
Protein function: Histone methyltransferase that specifically trimethylates 'Lys-9' of histone H3 using monomethylated H3 'Lys- 9' as substrate. H3 'Lys-9' trimethylation represents a specific tag for epigenetic transcriptional repression by recruiting HP1 (CBX1, CBX3 and/or CBX5) proteins to methylated histones. Mainly functions in heterochromatin regions, thereby playing a central role in the establishment of constitutive heterochromatin at pericentric and telomere regions. H3 'Lys-9' trimethylation is also required to direct DNA methylation at pericentric repeats. SUV39H1 is targeted to histone H3 via its interaction with RB1 and is involved in many processes, such as cell cycle regulation, transcriptional repression and regulation of telomere length. May participate in regulation of higher-order chromatin organization during spermatogenesis. Recruited by the large PER complex to the E-box elements of the circadian target genes such as PER2 itself or PER1, contributes to the conversion of local chromatin to a heterochromatin-like repressive state through H3 'Lys-9' trimethylation. [The UniProt Consortium]
Keywords: Anti-KMT1B, Anti-SUV39H2, EC=2.1.1.43, Anti-H3-K9-HMTase 2, Anti-Su(var)3-9 homolog 2, Anti-Lysine N-methyltransferase 1B, Anti-Histone H3-K9 methyltransferase 2, Anti-Suppressor of variegation 3-9 homolog 2
Supplier: Arigo Biolaboratories
Supplier-Nr: ARG54750

Properties

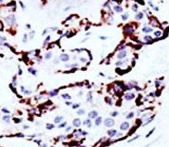
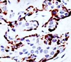
Application: IHC (paraffin), WB
Antibody Type: Polyclonal
Conjugate: No
Host: Rabbit
Species reactivity: human, mouse
Immunogen: KLH-conjugated synthetic peptide corresponding to aa. 93-122 (N-terminus) of Human SUV39H2 (NP_001180353.1)
Format: Purified

Handling & Safety

Storage: -20°C
Shipping: +4°C (International: °C)
Caution
Our products are for laboratory research use only: Not for administration to humans!
You will get a certificate here
or to request a certificate of analysis.
Read, write and discuss reviews... more
Customer review for "Anti-KMT1B / SUV39H2"
Write a review
or to review a product.
Viewed