Cookie preferences
This website uses cookies, which are necessary for the technical operation of the website and are always set. Other cookies, which increase the comfort when using this website, are used for direct advertising or to facilitate interaction with other websites and social networks, are only set with your consent.
Configuration
Technically required
These cookies are necessary for the basic functions of the shop.
"Allow all cookies" cookie
"Decline all cookies" cookie
CSRF token
Cookie preferences
Currency change
Customer-specific caching
FACT-Finder tracking
Individual prices
Selected shop
Session
Comfort functions
These cookies are used to make the shopping experience even more appealing, for example for the recognition of the visitor.
Note
Show the facebook fanpage in the right blod sidebar
Statistics & Tracking
Affiliate program
Conversion and usertracking via Google Tag Manager
Track device being used
| Item number | Size | Datasheet | Manual | SDS | Delivery time | Quantity | Price |
|---|---|---|---|---|---|---|---|
| ATA-HPA036909.100 | 100 µl | - |
7 - 10 business days* |
491.00€
|
If you have any questions, please use our Contact Form.
You can also order by e-mail: info@biomol.com
Larger quantity required? Request bulk
You can also order by e-mail: info@biomol.com
Larger quantity required? Request bulk
Protein function: Mitotic kinesin required for chromosome passenger complex (CPC)-mediated... more
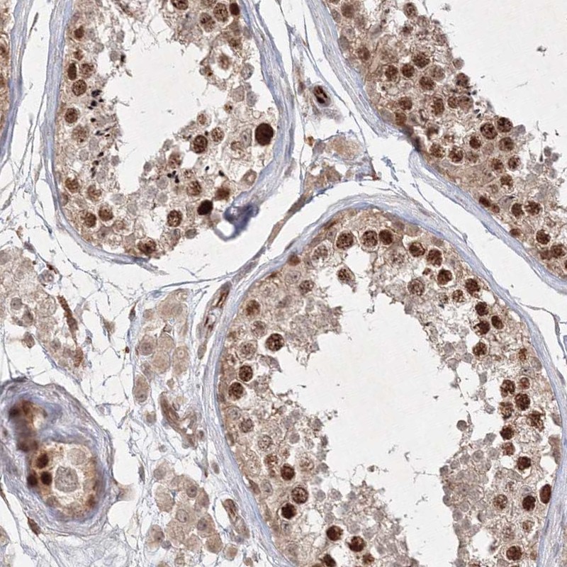
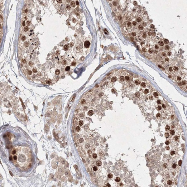
Product information "Anti-KIF20A"
Protein function: Mitotic kinesin required for chromosome passenger complex (CPC)-mediated cytokinesis. Following phosphorylation by PLK1, involved in recruitment of PLK1 to the central spindle. Interacts with guanosine triphosphate (GTP)-bound forms of RAB6A and RAB6B. May act as a motor required for the retrograde RAB6 regulated transport of Golgi membranes and associated vesicles along microtubules. Has a microtubule plus end- directed motility. [The UniProt Consortium] Buffer: 40% glycerol and PBS (pH 7.2). 0.02% sodium azide is added as preservative. Highest antigen sequence identity to mouse: 83% and to rat: 84%
| Keywords: | Anti-MKLP2, Anti-MKlp2, Anti-GG10_2, Anti-KIF20A, Anti-Rabkinesin-6, Anti-Kinesin-like protein KIF20A, Anti-Mitotic kinesin-like protein 2, Anti-Rab6-interacting kinesin-like protein |
| Supplier: | Atlas Antibodies |
| Supplier-Nr: | HPA036909 |
Properties
| Application: | IHC, WB |
| Antibody Type: | Polyclonal |
| Conjugate: | No |
| Host: | Rabbit |
| Species reactivity: | human |
| Immunogen: | Recombinant Protein Epitope Signature Tag (PrEST) antigen sequence: PLLSNEVIWL DSKQIRQEEM KKLSLLNGGL QEEELSTSLK RSVYIESRIG TSTSFDSGIA GLSSISQCTS SSQLDETSHR WAQPDTAPLP VPA (ATA-APrEST80009) |
Database Information
| KEGG ID : | K10402 | Matching products |
| UniProt ID : | O95235 | Matching products |
| Gene ID : | GeneID 10112 | Matching products |
| Protein Atlas Nr. : | ENSG00000112984 |
Handling & Safety
| Storage: | -20°C |
| Shipping: | +20°C (International: +20°C) |
Caution
Our products are for laboratory research use only: Not for administration to humans!
Our products are for laboratory research use only: Not for administration to humans!
Information about the product reference will follow.
more
You will get a certificate here
Viewed