Cookie preferences
This website uses cookies, which are necessary for the technical operation of the website and are always set. Other cookies, which increase the comfort when using this website, are used for direct advertising or to facilitate interaction with other websites and social networks, are only set with your consent.
Configuration
Technically required
These cookies are necessary for the basic functions of the shop.
"Allow all cookies" cookie
"Decline all cookies" cookie
CSRF token
Cookie preferences
Currency change
Customer-specific caching
FACT-Finder tracking
Individual prices
Selected shop
Session
Comfort functions
These cookies are used to make the shopping experience even more appealing, for example for the recognition of the visitor.
Note
Show the facebook fanpage in the right blod sidebar
Statistics & Tracking
Affiliate program
Conversion and usertracking via Google Tag Manager
Track device being used
| Item number | Size | Datasheet | Manual | SDS | Delivery time | Quantity | Price |
|---|---|---|---|---|---|---|---|
| ATA-HPA044470.25 | 25 µl | - |
7 - 10 business days* |
246.00€
|
|||
| ATA-HPA044470.100 | 100 µl | - |
7 - 10 business days* |
491.00€
|
If you have any questions, please use our Contact Form.
You can also order by e-mail: info@biomol.com
Larger quantity required? Request bulk
You can also order by e-mail: info@biomol.com
Larger quantity required? Request bulk
Protein function: Catalytic subunit of histone acetyltransferase HBO1 complexes, which... more
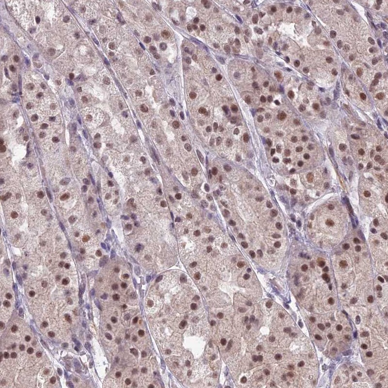
Product information "Anti-KAT7"
Protein function: Catalytic subunit of histone acetyltransferase HBO1 complexes, which specifically mediate acetylation of histone H3 at 'Lys-14' (H3K14ac), thereby regulating various processes, such as gene transcription, protein ubiquitination, immune regulation, stem cell pluripotent and self-renewal maintenance and embryonic development (PubMed:16387653, PubMed:21753189, PubMed:24065767, PubMed:26620551, PubMed:31767635, PubMed:31827282). Some complexes also catalyze acetylation of histone H4 at 'Lys-5', 'Lys-8' and 'Lys-12' (H4K5ac, H4K8ac and H4K12ac, respectively), regulating DNA replication initiation, regulating DNA replication initiation (PubMed:10438470, PubMed:19187766, PubMed:20129055, PubMed:24065767). Specificity of the HBO1 complexes is determined by the scaffold subunit: complexes containing BRPF scaffold (BRPF1, BRD1/BRPF2 or BRPF3) direct KAT7/HBO1 specificity towards H3K14ac, while complexes containing JADE (JADE1, JADE2 and JADE3) scaffold direct KAT7/HBO1 specificity towards histone H4 (PubMed:19187766, PubMed:20129055, PubMed:24065767, PubMed:26620551). H3K14ac promotes transcriptional elongation by facilitating the processivity of RNA polymerase II (PubMed:31827282). Acts as a key regulator of hematopoiesis by forming a complex with BRD1/BRPF2, directing KAT7/HBO1 specificity towards H3K14ac and promoting erythroid differentiation (PubMed:21753189). H3K14ac is also required for T-cell development. KAT7/HBO1-mediated acetylation facilitates two consecutive steps, licensing and activation, in DNA replication initiation: H3K14ac facilitates the activation of replication origins, and histone H4 acetylation (H4K5ac, H4K8ac and H4K12ac) facilitates chromatin loading of MCM complexes, promoting DNA replication licensing (PubMed:10438470, PubMed:11278932, PubMed:18832067, PubMed:19187766, PubMed:20129055, PubMed:21856198, PubMed:24065767, PubMed:26620551). Acts as a positive regulator of centromeric CENPA assembly: recruited to centromeres and mediates histone acetylation, thereby preventing centromere inactivation mediated by SUV39H1, possibly by increasing histone turnover/exchange (PubMed:27270040). Involved in nucleotide excision repair: phosphorylation by ATR in response to ultraviolet irradiation promotes its localization to DNA damage sites, where it mediates histone acetylation to facilitate recruitment of XPC at the damaged DNA sites (PubMed:28719581). Acts as an inhibitor of NF-kappa-B independently of its histone acetyltransferase activity (PubMed:16997280). [The UniProt Consortium] Buffer: 40% glycerol and PBS (pH 7.2). 0.02% sodium azide is added as preservative. Highest antigen sequence identity to mouse: 100% and to rat: 49%
| Keywords: | Anti-MYST-2, Anti-Lysine acetyltransferase 7, Anti-Histone acetyltransferase KAT7, Anti-MOZ, YBF2/SAS3, SAS2 and TIP60 protein 2, Anti-Histone acetyltransferase binding to ORC1 |
| Supplier: | Atlas Antibodies |
| Supplier-Nr: | HPA044470 |
Properties
| Application: | ICC, IHC, WB |
| Antibody Type: | Polyclonal |
| Conjugate: | No |
| Host: | Rabbit |
| Species reactivity: | human, mouse, rat |
| Immunogen: | Recombinant Protein Epitope Signature Tag (PrEST) antigen sequence: GCNSLGHLTG KHERHFSISG CPLYHNLSAD ECKAPTERQL RYKEKVAELR KKRNSGLSKE QKEKYMEHRQ TYGNTREPLL ENLTSEYDLD LFRRAQARAS EDLEKLRLQG QITEGSNM (ATA-APrEST86957) |
Database Information
| KEGG ID : | K11307 | Matching products |
| UniProt ID : | O95251 | Matching products |
| Gene ID : | GeneID 11143 | Matching products |
| Protein Atlas Nr. : | ENSG00000136504 |
Handling & Safety
| Storage: | -20°C |
| Shipping: | +20°C (International: +20°C) |
Caution
Our products are for laboratory research use only: Not for administration to humans!
Our products are for laboratory research use only: Not for administration to humans!
Information about the product reference will follow.
more
You will get a certificate here
Viewed