Cookie preferences
This website uses cookies, which are necessary for the technical operation of the website and are always set. Other cookies, which increase the comfort when using this website, are used for direct advertising or to facilitate interaction with other websites and social networks, are only set with your consent.
Configuration
Technically required
These cookies are necessary for the basic functions of the shop.
"Allow all cookies" cookie
"Decline all cookies" cookie
CSRF token
Cookie preferences
Currency change
Customer-specific caching
FACT-Finder tracking
Individual prices
Selected shop
Session
Comfort functions
These cookies are used to make the shopping experience even more appealing, for example for the recognition of the visitor.
Note
Show the facebook fanpage in the right blod sidebar
Statistics & Tracking
Affiliate program
Conversion and usertracking via Google Tag Manager
Track device being used
If you have any questions, please use our Contact Form.
You can also order by e-mail: info@biomol.com
Larger quantity required? Request bulk
You can also order by e-mail: info@biomol.com
Larger quantity required? Request bulk
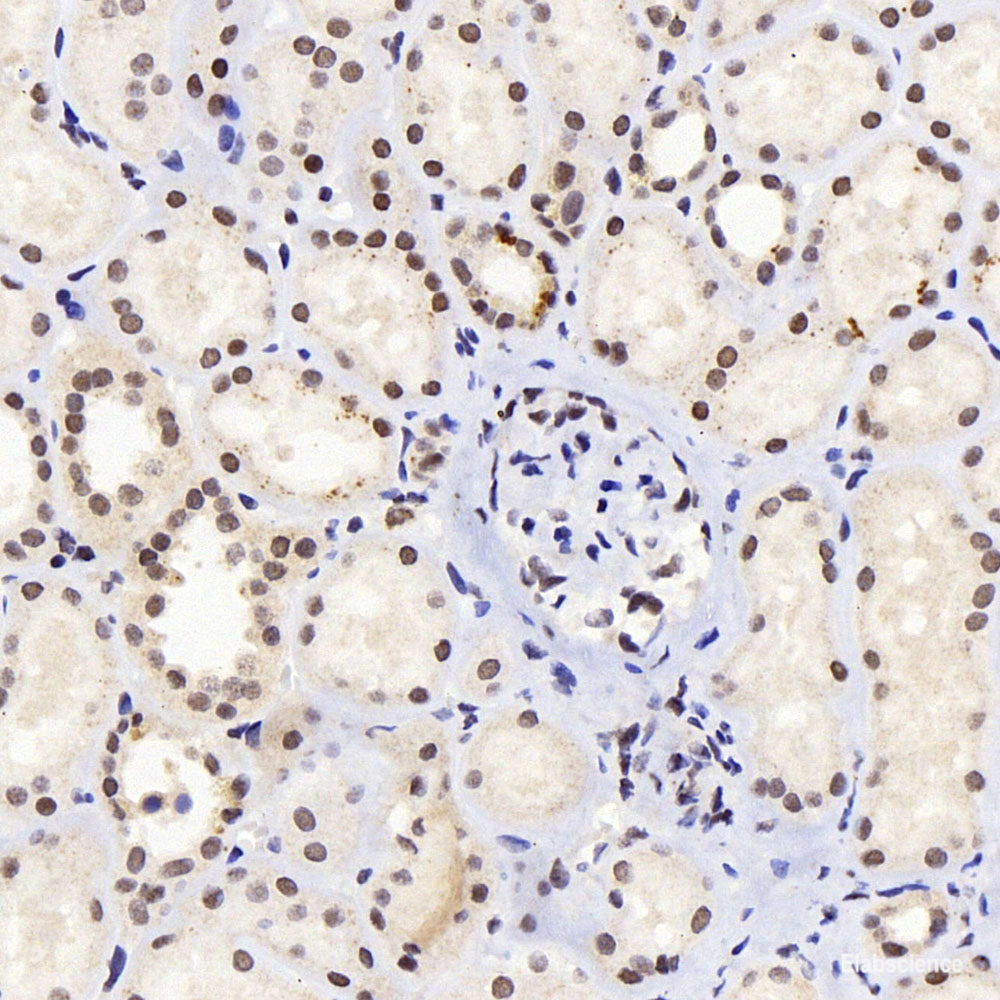
JUN is also named as c-Jun and AP1,belongs to the bZIP family and Jun subfamily. JUN,the most... more
Product information "Anti-JUN"
JUN is also named as c-Jun and AP1,belongs to the bZIP family and Jun subfamily. JUN,the most extensively studied protein of the activator protein-1 (AP-1) complex,is involved in numerous cell activities,such as proliferation,apoptosis,survival,tumorigenesis and tissue morphogenesis. JUN is a transcription factor that recognizes and binds to the enhancer heptamer motif 5'-TGA[CG]TCA-3'. It promotes activity of NR5A1 when phosphorylated by HIPK3 leading to increased steroidogenic gene expression upon cAMP signaling pathway stimulation. JUN is a basic leucine zipper (bZIP) transcription factor that acts as homo- or heterodimer,binding to DNA and regulating gene transcription. In additon,extracellular signals can induce post-translational modifications of JUN,resulting in altered transcriptional activity and target gene expression. More over,it has uncovered multiple layers of a complex regulatory scheme in which JUN is able to crosstalk,amplify and integrate different signals for tissue development and diseas Protein function: Transcription factor that recognizes and binds to the enhancer heptamer motif 5'-TGA[CG]TCA-3'. Promotes activity of NR5A1 when phosphorylated by HIPK3 leading to increased steroidogenic gene expression upon cAMP signaling pathway stimulation. Involved in activated KRAS-mediated transcriptional activation of USP28 in colorectal cancer (CRC) cells (PubMed:24623306). Binds to the USP28 promoter in colorectal cancer (CRC) cells (PubMed:24623306). [The UniProt Consortium]
| Keywords: | Anti-AP1, Anti-JUN, Anti-p39, Anti-Activator protein 1, Anti-Proto-oncogene c-Jun, Anti-Transcription factor AP-1, Anti-V-jun avian sarcoma virus 17 oncogene homolog, JUN Polyclonal Antibody |
| Supplier: | Elabscience |
| Supplier-Nr: | E-AB-70371 |
Properties
| Application: | IHC |
| Antibody Type: | Polyclonal |
| Conjugate: | No |
| Host: | Rabbit |
| Species reactivity: | human, mouse, rat |
| Immunogen: | KLH conjugated Synthetic peptide corresponding to Human c-Jun. |
Database Information
| KEGG ID : | K04448 | Matching products |
| UniProt ID : | P05412 | Matching products |
| Gene ID : | GeneID 3725 | Matching products |
Handling & Safety
| Storage: | -20°C |
| Shipping: | 4°C (International: -20°C) |
Caution
Our products are for laboratory research use only: Not for administration to humans!
Our products are for laboratory research use only: Not for administration to humans!
Information about the product reference will follow.
more
You will get a certificate here
Viewed