Cookie preferences
This website uses cookies, which are necessary for the technical operation of the website and are always set. Other cookies, which increase the comfort when using this website, are used for direct advertising or to facilitate interaction with other websites and social networks, are only set with your consent.
Configuration
Technically required
These cookies are necessary for the basic functions of the shop.
"Allow all cookies" cookie
"Decline all cookies" cookie
CSRF token
Cookie preferences
Currency change
Customer-specific caching
FACT-Finder tracking
Individual prices
Selected shop
Session
Comfort functions
These cookies are used to make the shopping experience even more appealing, for example for the recognition of the visitor.
Note
Show the facebook fanpage in the right blod sidebar
Statistics & Tracking
Affiliate program
Conversion and usertracking via Google Tag Manager
Track device being used
| Item number | Size | Datasheet | Manual | SDS | Delivery time | Quantity | Price |
|---|---|---|---|---|---|---|---|
| ATA-HPA047919.25 | 25 µl | - |
7 - 10 business days* |
330.00€
|
|||
| ATA-HPA047919.100 | 100 µl | - |
7 - 10 business days* |
463.00€
|
If you have any questions, please use our Contact Form.
You can also order by e-mail: info@biomol.com
Larger quantity required? Request bulk
You can also order by e-mail: info@biomol.com
Larger quantity required? Request bulk
Protein function: Transmembrane protein of the plasma membrane of leukocytes that control their... more
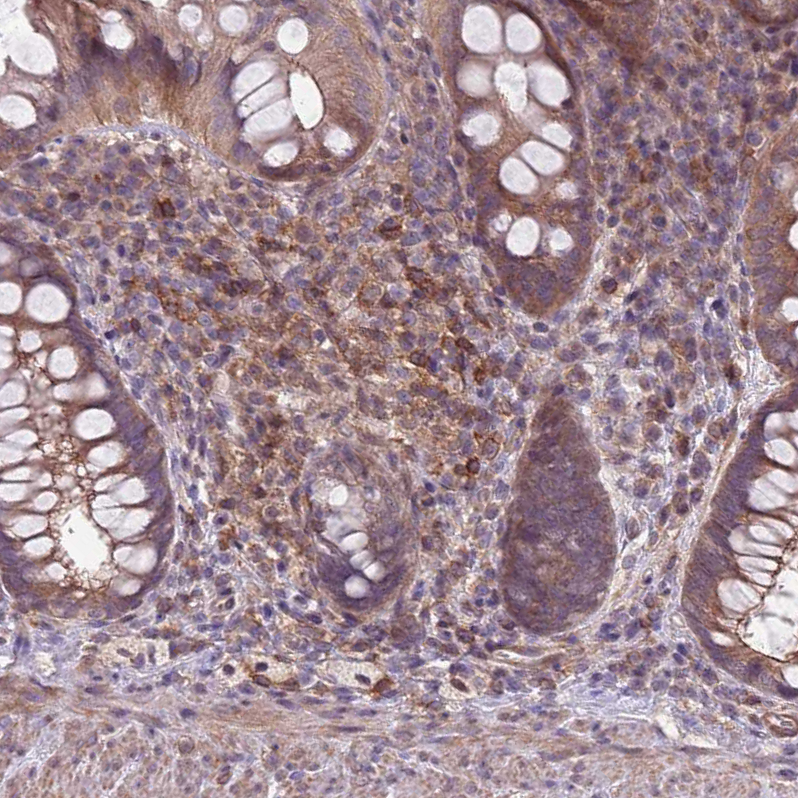
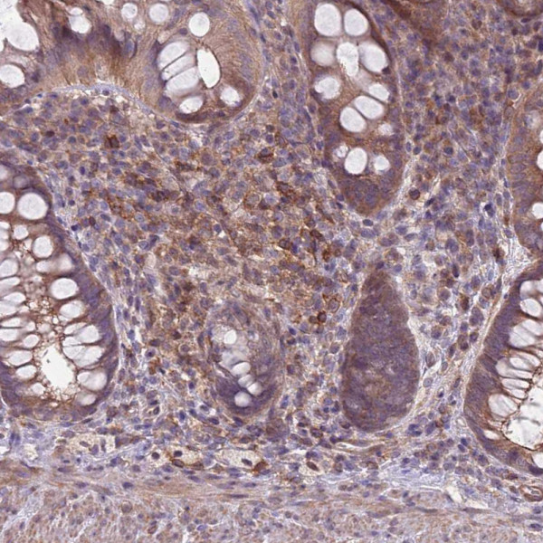
Product information "Anti-JAML"
Protein function: Transmembrane protein of the plasma membrane of leukocytes that control their migration and activation through interaction with CXADR, a plasma membrane receptor found on adjacent epithelial and endothelial cells. The interaction between both receptors mediates the activation of gamma-delta T-cells, a subpopulation of T-cells residing in epithelia and involved in tissue homeostasis and repair. Upon epithelial CXADR-binding, JAML induces downstream cell signaling events in gamma-delta T-cells through PI3-kinase and MAP kinases. It results in proliferation and production of cytokines and growth factors by T- cells that in turn stimulate epithelial tissues repair. It also controls the transmigration of leukocytes within epithelial and endothelial tissues through adhesive interactions with epithelial and endothelial CXADR. [The UniProt Consortium] Buffer: 40% glycerol and PBS (pH 7.2). 0.02% sodium azide is added as preservative. Highest antigen sequence identity to mouse: 42% and to rat: 42%
| Keywords: | Anti-AMICA1, Anti-Junctional adhesion molecule-like, Anti-Dendritic cell-specific protein CREA7-1, Anti-Adhesion molecule interacting with CXADR antigen 1 |
| Supplier: | Atlas Antibodies |
| Supplier-Nr: | HPA047919 |
Properties
| Application: | IHC, WB |
| Antibody Type: | Polyclonal |
| Conjugate: | No |
| Host: | Rabbit |
| Species reactivity: | human |
| Immunogen: | Recombinant Protein Epitope Signature Tag (PrEST) antigen sequence: KKTCGNKSSV NSTVLVKNTK KTNPEIKEKP CHFERCEGEK HIYSPIIVRE VIEEEEPSEK SEATYMTMHP VWPSLRSDRN NSL (ATA-APrEST70318) |
Database Information
| UniProt ID : | Q86YT9 | Matching products |
| Gene ID : | GeneID 120425 | Matching products |
| Protein Atlas Nr. : | ENSG00000160593 |
Handling & Safety
| Storage: | -20°C |
| Shipping: | +20°C (International: +20°C) |
Caution
Our products are for laboratory research use only: Not for administration to humans!
Our products are for laboratory research use only: Not for administration to humans!
Information about the product reference will follow.
more
You will get a certificate here
Viewed