This website uses cookies, which are necessary for the technical operation of the website and are always set. Other cookies, which increase the comfort when using this website, are used for direct advertising or to facilitate interaction with other websites and social networks, are only set with your consent.
Configuration
Technically required
These cookies are necessary for the basic functions of the shop.
"Allow all cookies" cookie
"Decline all cookies" cookie
CSRF token
Cookie preferences
Currency change
Customer-specific caching
FACT-Finder tracking
Individual prices
Selected shop
Session
Comfort functions
These cookies are used to make the shopping experience even more appealing, for example for the recognition of the visitor.
Note
Show the facebook fanpage in the right blod sidebar
Statistics & Tracking
Affiliate program
Conversion and usertracking via Google Tag Manager
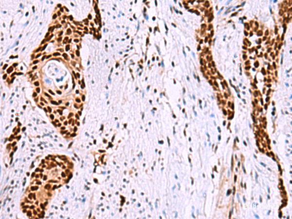
This locus represents naturally occurring read-through transcription between the neighboring ISY1 (ISY1 splicing factor homolog) and RAB43 (RAB43, member RAS oncogene family) gene on chromosome 3. The read-through transcript encodes a protein that shares sequence identity with the upstream gene product, but its C-terminus is distinct due to a frameshift relative to the downstream gene. Protein function: Component of the spliceosome C complex required for the selective processing of microRNAs during embryonic stem cell differentiation. Required for the biogenesis of all miRNAs from the pri-miR-17-92 primary transcript except miR-92a. Only required for the biogenesis of miR-290 and miR-96 from the pri-miR-290-295 and pri-miR-96-183 primary transcripts, respectively. Required during the transition of embryonic stem cells (ESCs) from the naive to primed state. By enhancing miRNA biogenesis, promotes exit of ESCs from the naive state to an intermediate state of poised pluripotency, which precedes transition to the primed state. Involved in pre-mRNA splicing as component of the spliceosome. [The UniProt Consortium]
This website uses cookies, which are necessary for the technical operation of the website and are always set. Other cookies, which increase the usability of this website, serve for direct advertising or simplify interaction with other websites and social networks, will only be used with your consent.
More information