This website uses cookies, which are necessary for the technical operation of the website and are always set. Other cookies, which increase the comfort when using this website, are used for direct advertising or to facilitate interaction with other websites and social networks, are only set with your consent.
Configuration
Technically required
These cookies are necessary for the basic functions of the shop.
"Allow all cookies" cookie
"Decline all cookies" cookie
CSRF token
Cookie preferences
Currency change
Customer-specific caching
FACT-Finder tracking
Individual prices
Selected shop
Session
Comfort functions
These cookies are used to make the shopping experience even more appealing, for example for the recognition of the visitor.
Note
Show the facebook fanpage in the right blod sidebar
Statistics & Tracking
Affiliate program
Conversion and usertracking via Google Tag Manager
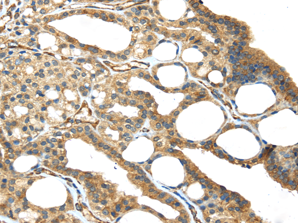
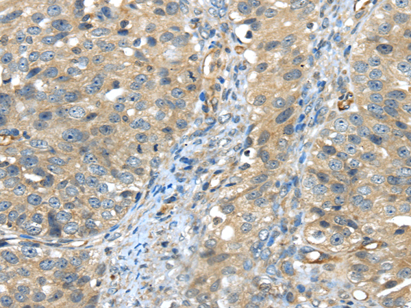
The protein encoded by this gene contains a type 1 thrombospondin domain, which is present in thrombospondin, a number of proteins involved in the complement pathway, as well as in extracellular matrix proteins. Two alternatively spliced transcript variants encoding distinct isoforms have been observed.
Keywords:
Anti-ISM2, Anti-TAIL1, Anti-PSEC0137, Anti-Isthmin-2, Anti-Thrombospondin type-1 domain-containing protein 3, Anti-Thrombospondin and AMOP domain-containing isthmin-like protein 1, ISM2 Polyclonal Antibody
This website uses cookies, which are necessary for the technical operation of the website and are always set. Other cookies, which increase the usability of this website, serve for direct advertising or simplify interaction with other websites and social networks, will only be used with your consent.
More information