Cookie preferences
This website uses cookies, which are necessary for the technical operation of the website and are always set. Other cookies, which increase the comfort when using this website, are used for direct advertising or to facilitate interaction with other websites and social networks, are only set with your consent.
Configuration
Technically required
These cookies are necessary for the basic functions of the shop.
"Allow all cookies" cookie
"Decline all cookies" cookie
CSRF token
Cookie preferences
Currency change
Customer-specific caching
FACT-Finder tracking
Individual prices
Selected shop
Session
Comfort functions
These cookies are used to make the shopping experience even more appealing, for example for the recognition of the visitor.
Note
Show the facebook fanpage in the right blod sidebar
Statistics & Tracking
Affiliate program
Conversion and usertracking via Google Tag Manager
Track device being used
| Item number | Size | Datasheet | Manual | SDS | Delivery time | Quantity | Price |
|---|---|---|---|---|---|---|---|
| NSJ-RQ5502 | 100 µg | - | - |
3 - 10 business days* |
790.00€
|
If you have any questions, please use our Contact Form.
You can also order by e-mail: info@biomol.com
Larger quantity required? Request bulk
You can also order by e-mail: info@biomol.com
Larger quantity required? Request bulk
0.5mg/ml if reconstituted with 0.2ml sterile DI water. Interferon-alpha/beta receptor beta chain... more
Product information "Anti-IFNAR2"
0.5mg/ml if reconstituted with 0.2ml sterile DI water. Interferon-alpha/beta receptor beta chain is a protein that in humans is encoded by the IFNAR2 gene. It is mapped to 21q22.11. The protein encoded by this gene is a type I membrane protein that forms one of the two chains of a receptor for interferons alpha and beta. Binding and activation of the receptor stimulates Janus protein kinases, which in turn phosphorylate several proteins, including STAT1 and STAT2. Multiple transcript variants encoding at least two different isoforms have been found for this gene. Protein function: Together with IFNAR1, forms the heterodimeric receptor for type I interferons (including interferons alpha, beta, epsilon, omega and kappa) (PubMed:8181059, PubMed:7665574, PubMed:7759950, PubMed:8798579, PubMed:8969169, PubMed:10049744, PubMed:10556041, PubMed:21854986, PubMed:26424569, PubMed:28165510, PubMed:32972995). Type I interferon binding activates the JAK-STAT signaling cascade, resulting in transcriptional activation or repression of interferon- regulated genes that encode the effectors of the interferon response (PubMed:8181059, PubMed:7665574, PubMed:7759950, PubMed:8798579, PubMed:8969169, PubMed:10049744, PubMed:17517919, PubMed:21854986, PubMed:26424569, PubMed:28165510, PubMed:32972995). Mechanistically, type I interferon-binding brings the IFNAR1 and IFNAR2 subunits into close proximity with one another, driving their associated Janus kinases (JAKs) (TYK2 bound to IFNAR1 and JAK1 bound to IFNAR2) to cross-phosphorylate one another (PubMed:10556041, PubMed:11682488, PubMed:12105218, PubMed:21854986, PubMed:32972995). The activated kinases phosphorylate specific tyrosine residues on the intracellular domains of IFNAR1 and IFNAR2, forming docking sites for the STAT transcription factors (STAT1, STAT2 and STAT) (PubMed:11682488, PubMed:12105218, PubMed:21854986, PubMed:32972995). STAT proteins are then phosphorylated by the JAKs, promoting their translocation into the nucleus to regulate expression of interferon-regulated genes (PubMed:9121453, PubMed:12105218, PubMed:28165510). [The UniProt Consortium]
| Keywords: | Anti-IFNAR2, Anti-IFNABR, Anti-IFN-R-2, Anti-IFN-alpha binding protein, Anti-IFN-alpha/beta receptor 2, Anti-Type I interferon receptor 2, Anti-Interferon alpha/beta receptor 2, Anti-Interferon alpha binding protein, IFNAR2 Antibody |
| Supplier: | NSJ Bioreagents |
| Supplier-Nr: | RQ5502 |
Properties
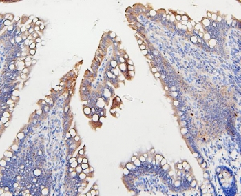
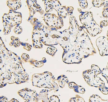
| Application: | WB, IHC (paraffin), IF, FC, Direct ELISA |
| Antibody Type: | Polyclonal |
| Conjugate: | No |
| Host: | Rabbit |
| Species reactivity: | human, mouse, rat |
| Immunogen: | A human recombinant protein (amino acids D33-Q466) |
| Format: | Purified |
Database Information
| KEGG ID : | K05131 | Matching products |
| UniProt ID : | P48551 | Matching products |
| Gene ID : | GeneID 3455 | Matching products |
Handling & Safety
| Storage: | +4°C |
| Shipping: | +4°C (International: +4°C) |
Caution
Our products are for laboratory research use only: Not for administration to humans!
Our products are for laboratory research use only: Not for administration to humans!
Information about the product reference will follow.
more
You will get a certificate here
Viewed