Anti-ICAM1

Item number Size Datasheet Manual SDS Delivery time Quantity Price
E-AB-13130.20 20 µl -

7 - 16 business days*

89.00€
E-AB-13130.60 60 µl -

7 - 16 business days*

174.00€
E-AB-13130.120 120 µl -

7 - 16 business days*

292.00€
E-AB-13130.200 200 µl -

7 - 16 business days*

485.00€
 
This gene encodes a cell surface glycoprotein which is typically expressed on endothelial cells... more
Product information "Anti-ICAM1"
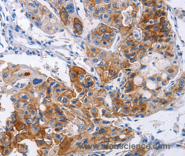
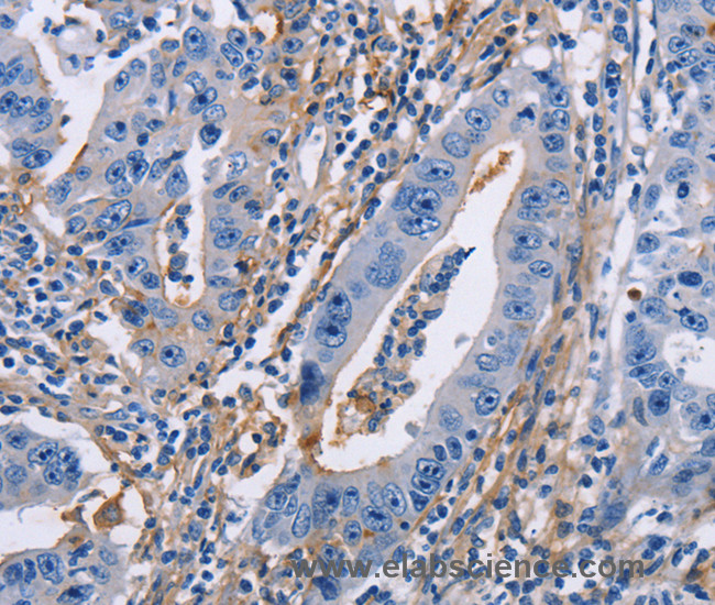
This gene encodes a cell surface glycoprotein which is typically expressed on endothelial cells and cells of the immune system. It binds to integrins of type CD11a / CD18, or CD11b / CD18 and is also exploited by Rhinovirus as a receptor. ICAM proteins are ligands for the leukocyte adhesion protein LFA-1 (integrin alpha-L/beta-2). During leukocyte trans-endothelial migration, ICAM1 engagement promotes the assembly of endothelial apical cups through ARHGEF26/SGEF and RHOG activation. In case of rhinovirus infection acts as a cellular receptor for the virus. Protein function: ICAM proteins are ligands for the leukocyte adhesion protein LFA-1 (integrin alpha-L/beta-2). During leukocyte trans- endothelial migration, ICAM1 engagement promotes the assembly of endothelial apical cups through ARHGEF26/SGEF and RHOG activation. [The UniProt Consortium]
Keywords: Anti-CD54, Anti-ICAM1, Anti-ICAM-1, Anti-Major group rhinovirus receptor, Anti-Intercellular adhesion molecule 1, ICAM1 Polyclonal Antibody
Supplier: Elabscience
Supplier-Nr: E-AB-13130

Properties

Application: WB, IHC, ELISA
Antibody Type: Polyclonal
Conjugate: No
Host: Rabbit
Species reactivity: human
Immunogen: Synthetic peptide of human ICAM1
Format: Purified

Handling & Safety

Storage: -20°C
Shipping: 4°C (International: -20°C)
Caution
Our products are for laboratory research use only: Not for administration to humans!
You will get a certificate here
or to request a certificate of analysis.
Read, write and discuss reviews... more
Customer review for "Anti-ICAM1"
Write a review
or to review a product.
Viewed