Cookie preferences
This website uses cookies, which are necessary for the technical operation of the website and are always set. Other cookies, which increase the comfort when using this website, are used for direct advertising or to facilitate interaction with other websites and social networks, are only set with your consent.
Configuration
Technically required
These cookies are necessary for the basic functions of the shop.
"Allow all cookies" cookie
"Decline all cookies" cookie
CSRF token
Cookie preferences
Currency change
Customer-specific caching
FACT-Finder tracking
Individual prices
Selected shop
Session
Comfort functions
These cookies are used to make the shopping experience even more appealing, for example for the recognition of the visitor.
Note
Show the facebook fanpage in the right blod sidebar
Statistics & Tracking
Affiliate program
Conversion and usertracking via Google Tag Manager
Track device being used
| Item number | Size | Datasheet | Manual | SDS | Delivery time | Quantity | Price |
|---|---|---|---|---|---|---|---|
| NSJ-R31515 | 100 µg | - | - |
3 - 10 business days* |
790.00€
|
If you have any questions, please use our Contact Form.
You can also order by e-mail: info@biomol.com
Larger quantity required? Request bulk
You can also order by e-mail: info@biomol.com
Larger quantity required? Request bulk
0.5mg/ml if reconstituted with 0.2ml sterile DI water. Heat shock protein 90 is a chaperone... more
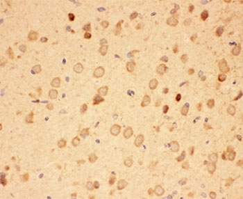
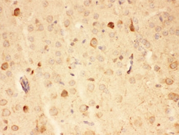
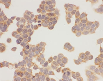
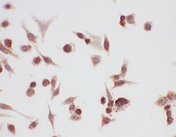
Product information "Anti-HSP90"
0.5mg/ml if reconstituted with 0.2ml sterile DI water. Heat shock protein 90 is a chaperone protein that assists other proteins to fold properly, stabilizes proteins against heat stress, and aids in protein degradation. Inhibitors of it are investigated as anti-cancer drugs. Heat shock proteins, as a class, are among the most highly expressed cellular proteins across all species. HSP90 acts as a capacitor for morphologic evolution through epigenetic and genetic mechanisms. It is a molecular chaperone that plays a key role in the conformational maturation of oncogenic signaling proteins, including HER2/ERBB2, AKT, RAF1, BCR-ABL, and mutated p53. Although it is highly expressed in most cells, HSP90 inhibitors selectively kill cancer cells compared to normal cells, and the the inhibitor 17-allylaminogeldanamycin (17-AAG) exhibited antitumor activity in preclinical models. Protein function: Molecular chaperone that promotes the maturation, structural maintenance and proper regulation of specific target proteins involved for instance in cell cycle control and signal transduction. Undergoes a functional cycle that is linked to its ATPase activity. This cycle probably induces conformational changes in the client proteins, thereby causing their activation. Interacts dynamically with various co-chaperones that modulate its substrate recognition, ATPase cycle and chaperone function. Binds bacterial lipopolysaccharide (LPS) et mediates LPS-induced inflammatory response, including TNF secretion by monocytes. [The UniProt Consortium]
| Keywords: | Anti-LAP-2, Anti-HSP86, Anti-HSP90A, Anti-HSP 86, Anti-HSP90AA1, Anti-Heat shock 86 kDa, Anti-LPS-associated protein 2, Anti-Heat shock protein HSP 90-alpha, Anti-Renal carcinoma antigen NY-REN-38, Anti-Lipopolysaccharide-associated protein 2, HSP90 Antib |
| Supplier: | NSJ Bioreagents |
| Supplier-Nr: | R31515 |
Properties
| Application: | WB, IHC (paraffin), ICC |
| Antibody Type: | Polyclonal |
| Conjugate: | No |
| Host: | Rabbit |
| Species reactivity: | human, mouse, rat |
| Immunogen: | Human partial recombinant protein (AA 2-365) was used as the immunogen for this HSP90 antibody. |
| Format: | Purified |
Database Information
| KEGG ID : | K04079 | Matching products |
| UniProt ID : | P07900 | Matching products |
| Gene ID : | GeneID 3320 | Matching products |
Handling & Safety
| Storage: | +4°C |
| Shipping: | +4°C (International: +4°C) |
Caution
Our products are for laboratory research use only: Not for administration to humans!
Our products are for laboratory research use only: Not for administration to humans!
Information about the product reference will follow.
more
You will get a certificate here
Viewed