Cookie preferences
This website uses cookies, which are necessary for the technical operation of the website and are always set. Other cookies, which increase the comfort when using this website, are used for direct advertising or to facilitate interaction with other websites and social networks, are only set with your consent.
Configuration
Technically required
These cookies are necessary for the basic functions of the shop.
"Allow all cookies" cookie
"Decline all cookies" cookie
CSRF token
Cookie preferences
Currency change
Customer-specific caching
FACT-Finder tracking
Individual prices
Selected shop
Session
Comfort functions
These cookies are used to make the shopping experience even more appealing, for example for the recognition of the visitor.
Note
Show the facebook fanpage in the right blod sidebar
Statistics & Tracking
Affiliate program
Conversion and usertracking via Google Tag Manager
Track device being used
| Item number | Size | Datasheet | Manual | SDS | Delivery time | Quantity | Price |
|---|---|---|---|---|---|---|---|
| IHC-00088-T | 10 µl (500 ng) | - |
2 - 8 business days* |
165.00€
|
|||
| IHC-00088 | 100 µl (5 µg) | - |
2 - 8 business days* |
621.00€
|
If you have any questions, please use our Contact Form.
You can also order by e-mail: info@biomol.com
Larger quantity required? Request bulk
You can also order by e-mail: info@biomol.com
Larger quantity required? Request bulk
Protein function: One of the major pre-mRNA-binding proteins. Binds tenaciously to poly(C)... more
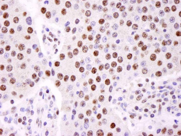
Product information "Anti-hnRNP-K (IHC)"
Protein function: One of the major pre-mRNA-binding proteins. Binds tenaciously to poly(C) sequences. Likely to play a role in the nuclear metabolism of hnRNAs, particularly for pre-mRNAs that contain cytidine-rich sequences. Can also bind poly(C) single- stranded DNA. Plays an important role in p53/TP53 response to DNA damage, acting at the level of both transcription activation and repression. When sumoylated, acts as a transcriptional coactivator of p53/TP53, playing a role in p21/CDKN1A and 14-3-3 sigma/SFN induction. As far as transcription repression is concerned, acts by interacting with long intergenic RNA p21 (lincRNA-p21), a non-coding RNA induced by p53/TP53. This interaction is necessary for the induction of apoptosis, but not cell cycle arrest. [The UniProt Consortium]
| Keywords: | Anti-TUNP, Anti-HNRPK, Anti-HNRNPK, Anti-hnRNP K, Anti-Heterogeneous nuclear ribonucleoprotein K, Anti-Transformation up-regulated nuclear protein |
| Supplier: | Bethyl Laboratories |
| Supplier-Nr: | IHC-00088 |
Properties
| Application: | IHC |
| Antibody Type: | Polyclonal |
| Conjugate: | No |
| Host: | Rabbit |
| Species reactivity: | human, mouse (Expected: rat, bovine, guinea pig, panda, orangutan, rhesus monkey, gorilla, duckbill platypus, tasmanian devil, white-tufted-ear marmoset, crab-eating macaque, african elephant, naked mole rat) |
| Immunogen: | synthetic peptide. The epitope recognized by IHC-00088 maps to the C-terminus specific for isoform a of human Heterogeneous Nuclear Ribonucleoprotein K using the numbering given in entry NP_002131.2 for human hnRNP-K isoform b (GeneID 3190). |
| Format: | Antigen Affinity Purified |
Database Information
| KEGG ID : | K12886 | Matching products |
| UniProt ID : | P61978 | Matching products |
| Gene ID : | GeneID 3190 | Matching products |
Handling & Safety
| Storage: | +4°C |
| Shipping: | +4°C (International: +4°C) |
Caution
Our products are for laboratory research use only: Not for administration to humans!
Our products are for laboratory research use only: Not for administration to humans!
Information about the product reference will follow.
more
You will get a certificate here
Viewed