Cookie preferences
This website uses cookies, which are necessary for the technical operation of the website and are always set. Other cookies, which increase the comfort when using this website, are used for direct advertising or to facilitate interaction with other websites and social networks, are only set with your consent.
Configuration
Technically required
These cookies are necessary for the basic functions of the shop.
"Allow all cookies" cookie
"Decline all cookies" cookie
CSRF token
Cookie preferences
Currency change
Customer-specific caching
FACT-Finder tracking
Individual prices
Selected shop
Session
Comfort functions
These cookies are used to make the shopping experience even more appealing, for example for the recognition of the visitor.
Note
Show the facebook fanpage in the right blod sidebar
Statistics & Tracking
Affiliate program
Conversion and usertracking via Google Tag Manager
Track device being used
| Item number | Size | Datasheet | Manual | SDS | Delivery time | Quantity | Price |
|---|---|---|---|---|---|---|---|
| NSJ-RQ6999 | 100 µg | - | - |
3 - 10 business days* |
790.00€
|
If you have any questions, please use our Contact Form.
You can also order by e-mail: info@biomol.com
Larger quantity required? Request bulk
You can also order by e-mail: info@biomol.com
Larger quantity required? Request bulk
0.5mg/ml if reconstituted with 0.2ml sterile DI water. Hepatocyte nuclear factor 4 alpha (HNF4A),... more
Product information "Anti-HNF4A, clone 6C8E9"
0.5mg/ml if reconstituted with 0.2ml sterile DI water. Hepatocyte nuclear factor 4 alpha (HNF4A), also known as NR2A1, is a nuclear receptor that in humans is encoded by the HNF4A gene. It is mapped to 20q13.12. HNF4A is a nuclear transcription factor that binds DNA as a homodimer. The encoded protein controls the expression of several genes, including hepatocyte nuclear factor 1 alpha, a transcription factor which regulates the expression of several hepatic genes. This gene plays a role in development of the liver, kidney, and intestines. HNF4A is required for the PXR and CAR-mediated transcriptional activation of CYP3A4. This gene also plays a pivotal role in the expression and synthesis of SHBG, an important glycoprotein made primarily in the liver, which in addition to lowering insulin-resistance also serves in reducing levels of free Oestrogen as-well as prolonging the half-life of Testosterone. Protein function: Transcriptional regulator which controls the expression of hepatic genes during the transition of endodermal cells to hepatic progenitor cells, facilitating the recruitment of RNA pol II to the promoters of target genes (PubMed:30597922). Activates the transcription of CYP2C38. Represses the CLOCK-BMAL1 transcriptional activity and is essential for circadian rhythm maintenance and period regulation in the liver and colon cells (PubMed:30530698). [The UniProt Consortium]
| Keywords: | Anti-HNF4, Anti-HNF4A, Anti-TCF-14, Anti-HNF-4-alpha, Anti-Transcription factor 14, Anti-Transcription factor HNF-4, Anti-Hepatocyte nuclear factor 4-alpha, Anti-Nuclear receptor subfamily 2 group A member 1, HNF4A Antibody |
| Supplier: | NSJ Bioreagents |
| Supplier-Nr: | RQ6999 |
Properties
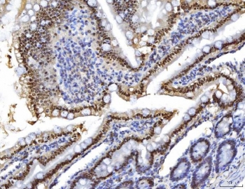
| Application: | WB, IHC (paraffin) |
| Antibody Type: | Monoclonal |
| Clone: | 6C8E9 |
| Conjugate: | No |
| Host: | Mouse |
| Species reactivity: | human, rat |
| Immunogen: | Recombinant human protein (amino acids Q164-I474) |
| Format: | Gene Regulation |
Database Information
| KEGG ID : | K07292 | Matching products |
| UniProt ID : | P41235 | Matching products |
| Gene ID : | GeneID 3172 | Matching products |
Handling & Safety
| Storage: | +4°C |
| Shipping: | +4°C (International: +4°C) |
Caution
Our products are for laboratory research use only: Not for administration to humans!
Our products are for laboratory research use only: Not for administration to humans!
Information about the product reference will follow.
more
You will get a certificate here
Viewed