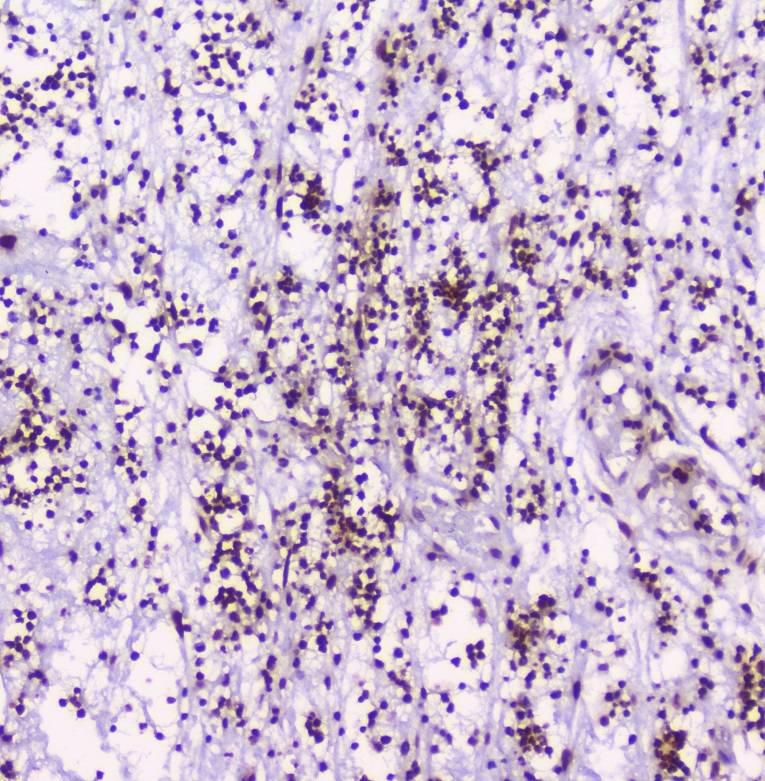
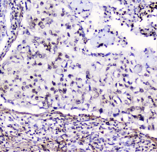
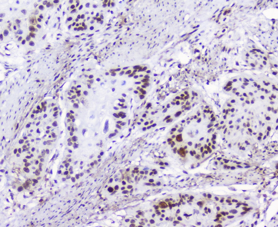
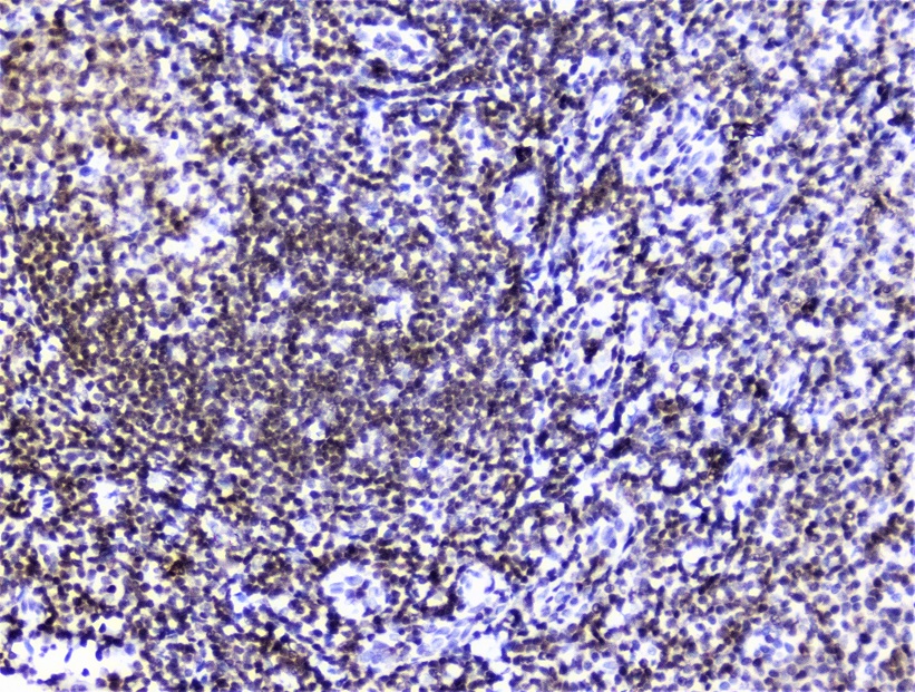
Anti-HMGN2

Item number Size Datasheet Manual SDS Delivery time Quantity Price
ARG59687.50 50 µg - -

6 - 14 business days*

551.00€
 
Protein function: Binds to the inner side of the nucleosomal DNA thus altering the interaction... more
Product information "Anti-HMGN2"
Protein function: Binds to the inner side of the nucleosomal DNA thus altering the interaction between the DNA and the histone octamer. May be involved in the process which maintains transcribable genes in a unique chromatin conformation. [The UniProt Consortium]
Keywords: Anti-HMGN2, Anti-HMG17, Anti-Non-histone chromosomal protein HMG-17, Anti-High mobility group nucleosome-binding domain-containing protein 2
Supplier: Arigo Biolaboratories
Supplier-Nr: ARG59687

Properties

Application: IHC (paraffin), WB
Antibody Type: Polyclonal
Conjugate: No
Host: Rabbit
Species reactivity: human
Immunogen: Synthetic peptide corresponding to a sequence of Human HMGN2. (KKGKADAGKEGNNPAENGDAKTDQAQKAEGAGDAK)
MW: 18 kD
Format: Antigen Affinity Purified

Handling & Safety

Storage: -20°C
Shipping: +4°C (International: °C)
Caution
Our products are for laboratory research use only: Not for administration to humans!
You will get a certificate here
or to request a certificate of analysis.
Read, write and discuss reviews... more
Customer review for "Anti-HMGN2"
Write a review
or to review a product.
Viewed