Anti-HMGCS1

Item number Size Datasheet Manual SDS Delivery time Quantity Price
NSJ-RQ6644 100 µg - -

3 - 10 business days*

790.00€
 
0.5mg/ml if reconstituted with 0.2ml sterile DI water. Hydroxymethylglutaryl-CoA synthase or... more
Product information "Anti-HMGCS1"
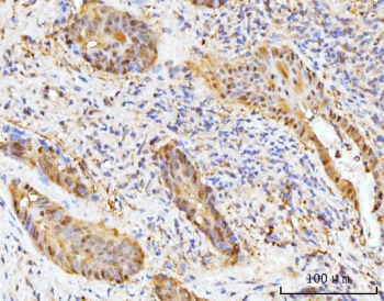
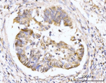
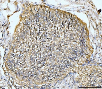
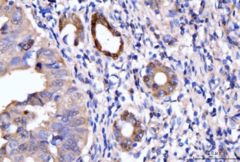
0.5mg/ml if reconstituted with 0.2ml sterile DI water. Hydroxymethylglutaryl-CoA synthase or HMG-CoA synthase EC 2.3.3.10 is an enzyme which catalyzes the reaction in which acetyl-CoA condenses with acetoacetyl-CoA to form 3-hydroxy-3-methylglutaryl-CoA (HMG-CoA). Cytoplasmic 3-hydroxy-3-methylglutaryl-CoA synthase (HMGCS1) catalyzes the first committed step of mevalonate pathway essential for cholesterol biosynthesis. HMGCS1 transcription is regulated by sterol levels. Studies showed that miR-223 reduces cholesterol biosynthesis by inhibiting HMGCS1 and methylsterol monooxygenase 1. In addition, activation of the EGFR family member ERBB4 induces the expression of SREBP-regulated genes (including HMGCS1) involved in cholesterol biosynthesis, suggesting a role of this enzyme in the metabolic re-programming in ERBB4-driven cancers. Protein function: Catalyzes the condensation of acetyl-CoA with acetoacetyl-CoA to form HMG-CoA, which is converted by HMG-CoA reductase (HMGCR) into mevalonate, a precursor for cholesterol synthesis. [The UniProt Consortium]
Keywords: Anti-HMGCS, Anti-HMG-CoA synthase, Anti-3-hydroxy-3-methylglutaryl coenzyme A synthase, Anti-Hydroxymethylglutaryl-CoA synthase, cytoplasmic, HMGCS1 Antibody
Supplier: NSJ Bioreagents
Supplier-Nr: RQ6644

Properties

Application: WB, IHC (paraffin), FC, IF, Direct ELISA
Antibody Type: Polyclonal
Conjugate: No
Host: Rabbit
Species reactivity: human
Immunogen: Recombinant human protein (amino acids K251-H520)
Format: Metabolism

Handling & Safety

Storage: +4°C
Shipping: +4°C (International: +4°C)
Caution
Our products are for laboratory research use only: Not for administration to humans!
You will get a certificate here
or to request a certificate of analysis.
Read, write and discuss reviews... more
Customer review for "Anti-HMGCS1"
Write a review
or to review a product.
Viewed