Cookie preferences
This website uses cookies, which are necessary for the technical operation of the website and are always set. Other cookies, which increase the comfort when using this website, are used for direct advertising or to facilitate interaction with other websites and social networks, are only set with your consent.
Configuration
Technically required
These cookies are necessary for the basic functions of the shop.
"Allow all cookies" cookie
"Decline all cookies" cookie
CSRF token
Cookie preferences
Currency change
Customer-specific caching
FACT-Finder tracking
Individual prices
Selected shop
Session
Comfort functions
These cookies are used to make the shopping experience even more appealing, for example for the recognition of the visitor.
Note
Show the facebook fanpage in the right blod sidebar
Statistics & Tracking
Affiliate program
Conversion and usertracking via Google Tag Manager
Track device being used
| Item number | Size | Datasheet | Manual | SDS | Delivery time | Quantity | Price |
|---|---|---|---|---|---|---|---|
| ATA-HPA053314.100 | 100 µl | - |
7 - 10 business days* |
463.00€
|
If you have any questions, please use our Contact Form.
You can also order by e-mail: info@biomol.com
Larger quantity required? Request bulk
You can also order by e-mail: info@biomol.com
Larger quantity required? Request bulk
Protein function: Multifunctional protein with various roles in different cellular compartments.... more
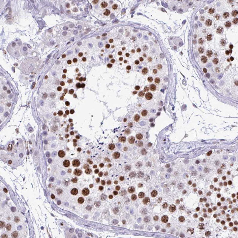
Product information "Anti-HMGB2"
Protein function: Multifunctional protein with various roles in different cellular compartments. May act in a redox sensitive manner. In the nucleus is an abundant chromatin-associated non-histone protein involved in transcription, chromatin remodeling and V(D)J recombination and probably other processes. Binds DNA with a preference to non- canonical DNA structures such as single-stranded DNA. Can bent DNA and enhance DNA flexibility by looping thus providing a mechanism to promote activities on various gene promoters by enhancing transcription factor binding and/or bringing distant regulatory sequences into close proximity (PubMed:7797075, PubMed:11909973, PubMed:19522541, PubMed:18413230, PubMed:19965638, PubMed:20123072). Involved in V(D)J recombination by acting as a cofactor of the RAG complex: acts by stimulating cleavage and RAG protein binding at the 23 bp spacer of conserved recombination signal sequences (RSS). Proposed to be involved in the innate immune response to nucleic acids by acting as a promiscuous immunogenic DNA/RNA sensor which cooperates with subsequent discriminative sensing by specific pattern recognition receptors. In the extracellular compartment acts as a chemokine. Promotes proliferation and migration of endothelial cells implicating AGER/RAGE (PubMed:19811285). Has antimicrobial activity in gastrointestinal epithelial tissues (PubMed:23877675). Involved in inflammatory response to antigenic stimulus coupled with proinflammatory activity. Involved in modulation of neurogenesis probably by regulation of neural stem proliferation. Involved in articular cartilage surface maintenance implicating LEF1 and the Wnt/beta-catenin pathway. [The UniProt Consortium] Buffer: 40% glycerol and PBS (pH 7.2). 0.02% sodium azide is added as preservative. Highest antigen sequence identity to mouse: 100% and to rat: 96%
| Keywords: | Anti-HMG2, Anti-HMG-2, Anti-HMGB2, Anti-High mobility group protein 2, Anti-High mobility group protein B2 |
| Supplier: | Atlas Antibodies |
| Supplier-Nr: | HPA053314 |
Properties
| Application: | WB, IHC, ICC |
| Antibody Type: | Polyclonal |
| Conjugate: | No |
| Host: | Rabbit |
| Species reactivity: | human |
| Immunogen: | Recombinant Protein Epitope Signature Tag (PrEST) antigen sequence: AKGKSEAGKK GPGRPTGSKK KNEP (ATA-APrEST87641) |
Database Information
| KEGG ID : | K11295 | Matching products |
| UniProt ID : | P26583 | Matching products |
| Gene ID : | GeneID 3148 | Matching products |
| Protein Atlas Nr. : | ENSG00000164104 |
Handling & Safety
| Storage: | -20°C |
| Shipping: | +20°C (International: +20°C) |
Caution
Our products are for laboratory research use only: Not for administration to humans!
Our products are for laboratory research use only: Not for administration to humans!
Information about the product reference will follow.
more
You will get a certificate here
Viewed