Cookie preferences
This website uses cookies, which are necessary for the technical operation of the website and are always set. Other cookies, which increase the comfort when using this website, are used for direct advertising or to facilitate interaction with other websites and social networks, are only set with your consent.
Configuration
Technically required
These cookies are necessary for the basic functions of the shop.
"Allow all cookies" cookie
"Decline all cookies" cookie
CSRF token
Cookie preferences
Currency change
Customer-specific caching
FACT-Finder tracking
Individual prices
Selected shop
Session
Comfort functions
These cookies are used to make the shopping experience even more appealing, for example for the recognition of the visitor.
Note
Show the facebook fanpage in the right blod sidebar
Statistics & Tracking
Affiliate program
Conversion and usertracking via Google Tag Manager
Track device being used
| Item number | Size | Datasheet | Manual | SDS | Delivery time | Quantity | Price |
|---|---|---|---|---|---|---|---|
| A300-286A-T | 10 µl (2 µg) | - |
2 - 8 business days* |
165.00€
|
|||
| A300-286A | 100 µl | - |
2 - 8 business days* |
586.00€
|
If you have any questions, please use our Contact Form.
You can also order by e-mail: info@biomol.com
Larger quantity required? Request bulk
You can also order by e-mail: info@biomol.com
Larger quantity required? Request bulk
Protein function: Functions as a master transcriptional regulator of the adaptive response to... more
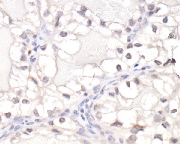
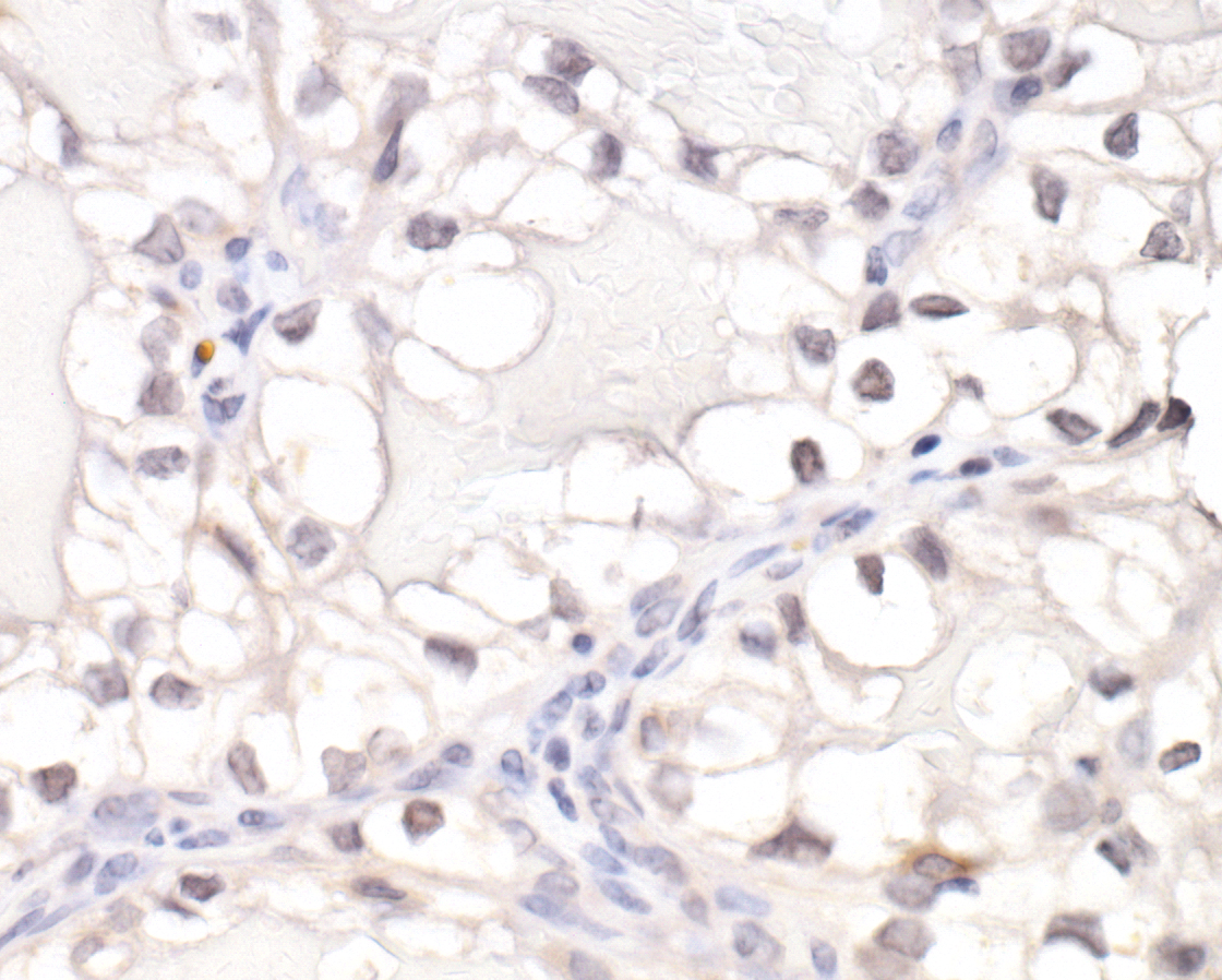
Product information "Anti-HIF1-alpha"
Protein function: Functions as a master transcriptional regulator of the adaptive response to hypoxia. Under hypoxic conditions, activates the transcription of over 40 genes, including erythropoietin, glucose transporters, glycolytic enzymes, vascular endothelial growth factor, HILPDA, and other genes whose protein products increase oxygen delivery or facilitate metabolic adaptation to hypoxia. Plays an essential role in embryonic vascularization, tumor angiogenesis and pathophysiology of ischemic disease. Binds to core DNA sequence 5'-[AG]CGTG-3' within the hypoxia response element (HRE) of target gene promoters. Activation requires recruitment of transcriptional coactivators such as CREBBP and EP300. Activity is enhanced by interaction with both, NCOA1 or NCOA2. Interaction with redox regulatory protein APEX seems to activate CTAD and potentiates activation by NCOA1 and CREBBP. Involved in the axonal distribution and transport of mitochondria in neurons during hypoxia. [The UniProt Consortium]
| Keywords: | Anti-HIF1A, Anti-bHLHe78, Anti-BHLHE78, Anti-HIF1-alpha, Anti-HIF-1-alpha, Anti-Member of PAS protein 1, Anti-ARNT-interacting protein, Anti-PAS domain-containing protein 8, Anti-Hypoxia-inducible factor 1-alpha |
| Supplier: | Bethyl Laboratories |
| Supplier-Nr: | A300-286A |
Properties
| Application: | WB, IP, IHC, ICC-IF |
| Antibody Type: | Polyclonal |
| Conjugate: | No |
| Host: | Rabbit |
| Species reactivity: | human, mouse (Expected: rat, chicken, bovine) |
| Immunogen: | synthetic peptide. The epitope recognized by A300-286A-T maps to a region between residues 775 and the C-terminus (residue 826) of human hypoxia-inducible factor 1, alpha subunit using the numbering given in Swiss-Prot entry Q16665 (GeneID 3091). |
| Format: | Antigen Affinity Purified |
Database Information
| KEGG ID : | K08268 | Matching products |
| UniProt ID : | Q16665 | Matching products |
| Gene ID : | GeneID 3091 | Matching products |
Handling & Safety
| Storage: | +4°C |
| Shipping: | +4°C (International: +4°C) |
Caution
Our products are for laboratory research use only: Not for administration to humans!
Our products are for laboratory research use only: Not for administration to humans!
Information about the product reference will follow.
more
You will get a certificate here
Viewed