Anti-HCG-alpha, clone SPM552

Item number Size Datasheet Manual SDS Delivery time Quantity Price
NEO-1081-MSM1X-P0 20 µg - -

Request delivery time estimate

326.00€
NEO-1081-MSM1X-P1 100 µg - -

Request delivery time estimate

704.00€
 
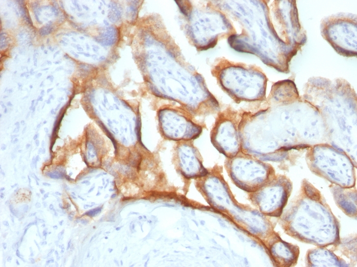
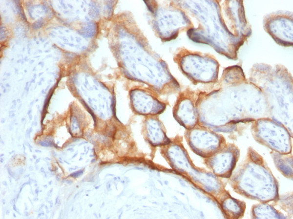
Formulation: Purified Ab with BSA and Azide at 200ug/ml. Cellular Localization: Secreted.... more
Product information "Anti-HCG-alpha, clone SPM552"
Formulation: Purified Ab with BSA and Azide at 200ug/ml. Cellular Localization: Secreted. Positive Control: Placenta. Chromosome Location: 6q12-q21. Protein Function: Shared alpha chain of the active heterodimeric glycoprotein hormones thyrotropin/thyroid stimulating hormone/TSH, lutropin/luteinizing hormone/LH, follitropin/follicle stimulating hormone/FSH and choriogonadotropin/CG. These hormones bind specific receptors on target cells that in turn activate downstream signaling pathways [The Uniprot Consortium]
Keywords: Anti-CGA, Anti-Lutropin alpha chain, Anti-Follitropin alpha chain, Anti-Thyrotropin alpha chain, Anti-Choriogonadotropin alpha chain, Anti-Luteinizing hormone alpha chain, Anti-Glycoprotein hormones alpha chain, Anti-Chorionic gonadotrophin subunit alpha,
Supplier: NeoBiotechnologies
Supplier-Nr: 1081-MSM1X

Properties

Application: IHC
Antibody Type: Monoclonal
Clone: SPM552
Conjugate: No
Host: Mouse
Species reactivity: human
MW: ~13 kD
Format: Purified

Handling & Safety

Storage: +4°C
Shipping: +4°C (International: +4°C)
Caution
Our products are for laboratory research use only: Not for administration to humans!
Information about the product reference will follow. more
You will get a certificate here
or to request a certificate of analysis.
Read, write and discuss reviews... more
Customer review for "Anti-HCG-alpha, clone SPM552"
Write a review
or to review a product.
Viewed