Cookie preferences
This website uses cookies, which are necessary for the technical operation of the website and are always set. Other cookies, which increase the comfort when using this website, are used for direct advertising or to facilitate interaction with other websites and social networks, are only set with your consent.
Configuration
Technically required
These cookies are necessary for the basic functions of the shop.
"Allow all cookies" cookie
"Decline all cookies" cookie
CSRF token
Cookie preferences
Currency change
Customer-specific caching
FACT-Finder tracking
Individual prices
Selected shop
Session
Comfort functions
These cookies are used to make the shopping experience even more appealing, for example for the recognition of the visitor.
Note
Show the facebook fanpage in the right blod sidebar
Statistics & Tracking
Affiliate program
Conversion and usertracking via Google Tag Manager
Track device being used
| Item number | Size | Datasheet | Manual | SDS | Delivery time | Quantity | Price |
|---|---|---|---|---|---|---|---|
| NSJ-FY12861 | 100 µg | - | - |
3 - 10 business days* |
790.00€
|
If you have any questions, please use our Contact Form.
You can also order by e-mail: info@biomol.com
Larger quantity required? Request bulk
You can also order by e-mail: info@biomol.com
Larger quantity required? Request bulk
Adding 0.2 ml of distilled water will yield a concentration of 500 ug/ml. GSTM2 antibody detects... more
Product information "Anti-GSTM2 / Glutathione S-transferase Mu 2"
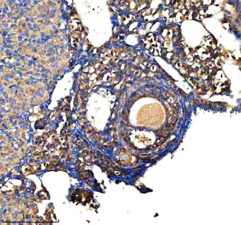
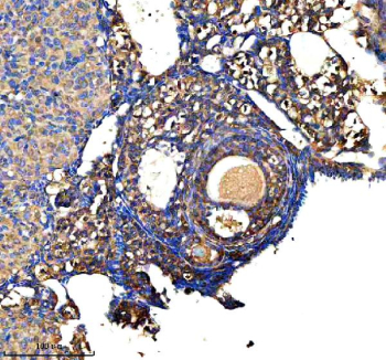
Adding 0.2 ml of distilled water will yield a concentration of 500 ug/ml. GSTM2 antibody detects Glutathione S-transferase Mu 2, a detoxification enzyme that catalyzes the conjugation of glutathione to electrophilic compounds, protecting cells from oxidative damage and xenobiotic stress. Encoded by the GSTM2 gene on chromosome 1p13.3, this enzyme belongs to the mu class of cytosolic glutathione S-transferases (GSTs) and plays a critical role in the metabolism of carcinogens, environmental toxins, and therapeutic drugs. GSTM2 is particularly abundant in liver, kidney, and lung tissues, where it contributes to phase II detoxification.Structurally, GSTM2 forms homodimers, each monomer containing an N-terminal glutathione-binding site (G-site) and a C-terminal hydrophobic substrate-binding site (H-site). This configuration enables GSTM2 to catalyze the conjugation of reduced glutathione (GSH) to electrophilic substrates, rendering them more water-soluble for excretion. GSTM2 also exhibits peroxidase activity, neutralizing reactive oxygen species and maintaining cellular redox balance.The GSTM2 antibody is widely used in toxicology, pharmacology, and metabolic research to study oxidative stress responses, detoxification pathways, and enzyme induction mechanisms. Western blot analysis identifies a 26 kilodalton band corresponding to GSTM2, while immunohistochemistry reveals strong cytoplasmic staining in hepatocytes and renal tubular cells. This antibody supports investigations into tissue-specific detoxification and metabolic adaptation to stress and xenobiotics.Genetic polymorphisms in GSTM2 and related GST genes influence susceptibility to environmental toxins, carcinogens, and drug-induced injury. Reduced expression or functional loss of GSTM2 increases oxidative damage and contributes to disorders such as asthma, cancer, and neurodegenerative disease. Conversely, elevated expression is associated with chemoresistance and altered drug metabolism in tumor cells. The GSTM2 antibody provides a reliable tool for quantifying enzyme expression and understanding its contribution to cellular defense systems. NSJ Bioreagents validates this antibody for its applications, ensuring dependable performance for detoxification and redox biology research.
| Keywords: | Anti-Gstm2, Anti-GST 5-5, Anti-GST class-mu 2, Anti-Glutathione S-transferase Mu 2, Anti-Glutathione S-transferase pmGT2, GSTM2 Antibody / Glutathione S-transferase Mu 2 |
| Supplier: | NSJ Bioreagents |
| Supplier-Nr: | FY12861 |
Properties
| Application: | WB, IHC |
| Antibody Type: | Polyclonal |
| Conjugate: | No |
| Host: | Rabbit |
| Species reactivity: | mouse, rat |
| Immunogen: | A synthetic peptide corresponding to a sequence in the middle region of mouse GSTM2 |
| Format: | Purified |
Database Information
| KEGG ID : | K00799 | Matching products |
| UniProt ID : | P15626 | Matching products |
| Gene ID : | GeneID 14863 | Matching products |
Handling & Safety
| Storage: | +4°C |
| Shipping: | +4°C (International: +4°C) |
Caution
Our products are for laboratory research use only: Not for administration to humans!
Our products are for laboratory research use only: Not for administration to humans!
Information about the product reference will follow.
more
You will get a certificate here
Viewed