This website uses cookies, which are necessary for the technical operation of the website and are always set. Other cookies, which increase the comfort when using this website, are used for direct advertising or to facilitate interaction with other websites and social networks, are only set with your consent.
Configuration
Technically required
These cookies are necessary for the basic functions of the shop.
"Allow all cookies" cookie
"Decline all cookies" cookie
CSRF token
Cookie preferences
Currency change
Customer-specific caching
FACT-Finder tracking
Individual prices
Selected shop
Session
Comfort functions
These cookies are used to make the shopping experience even more appealing, for example for the recognition of the visitor.
Note
Show the facebook fanpage in the right blod sidebar
Statistics & Tracking
Affiliate program
Conversion and usertracking via Google Tag Manager
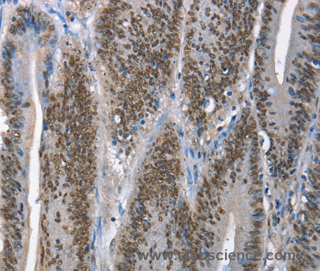
The protein encoded by this gene is secreted and then cleaved to form the 10 aa luteinizing hormone-releasing hormone (LHRH, also known as gonadoliberin-1), and prolactin release-inhibiting factor (also known as GnRH-associated peptide 1). LHRH stimulates the release of luteinizing and follicle stimulating hormones, which are important for reproduction. Mutation in this gene are associated with hypogonadotropic hypogonadism. Alternatively spliced transcript variants have been described for this gene. Protein function: Stimulates the secretion of gonadotropins, it stimulates the secretion of both luteinizing and follicle-stimulating hormones. [The UniProt Consortium]
This website uses cookies, which are necessary for the technical operation of the website and are always set. Other cookies, which increase the usability of this website, serve for direct advertising or simplify interaction with other websites and social networks, will only be used with your consent.
More information