Cookie preferences
This website uses cookies, which are necessary for the technical operation of the website and are always set. Other cookies, which increase the comfort when using this website, are used for direct advertising or to facilitate interaction with other websites and social networks, are only set with your consent.
Configuration
Technically required
These cookies are necessary for the basic functions of the shop.
"Allow all cookies" cookie
"Decline all cookies" cookie
CSRF token
Cookie preferences
Currency change
Customer-specific caching
FACT-Finder tracking
Individual prices
Selected shop
Session
Comfort functions
These cookies are used to make the shopping experience even more appealing, for example for the recognition of the visitor.
Note
Show the facebook fanpage in the right blod sidebar
Statistics & Tracking
Affiliate program
Conversion and usertracking via Google Tag Manager
Track device being used
| Item number | Size | Datasheet | Manual | SDS | Delivery time | Quantity | Price |
|---|---|---|---|---|---|---|---|
| NSJ-FY12740 | 100 µg | - | - |
3 - 10 business days* |
790.00€
|
If you have any questions, please use our Contact Form.
You can also order by e-mail: info@biomol.com
Larger quantity required? Request bulk
You can also order by e-mail: info@biomol.com
Larger quantity required? Request bulk
Adding 0.2 ml of distilled water will yield a concentration of 500 ug/ml. GNAI2 antibody detects... more
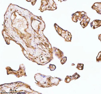
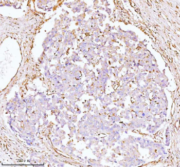
Product information "Anti-GNAI2 / Guanine nucleotide-binding protein alpha-2"
Adding 0.2 ml of distilled water will yield a concentration of 500 ug/ml. GNAI2 antibody detects Guanine nucleotide-binding protein G(i) subunit alpha-2, a critical component of heterotrimeric G proteins that mediate signal transduction between G protein-coupled receptors (GPCRs) and intracellular effectors. Encoded by the GNAI2 gene on chromosome 3p21.31, this protein belongs to the G alpha inhibitory (Galphai) family, which suppresses adenylyl cyclase activity and thereby reduces cyclic AMP (cAMP) production. GNAI2 acts as a molecular switch, cycling between active GTP-bound and inactive GDP-bound forms to control pathways regulating cell growth, motility, and differentiation.GNAI2 is widely expressed in most tissues, including brain, heart, and immune cells, where it plays diverse physiological roles. Upon receptor activation, GNAI2 dissociates from the G beta gamma subunits, allowing each component to activate distinct downstream signaling molecules. Through this mechanism, GNAI2 influences pathways controlling calcium mobilization, ion channel regulation, and MAPK activation. It is particularly important in immune cells, where it mediates chemokine-induced migration and adhesion, and in the nervous system, where it modulates neurotransmitter signaling.The GNAI2 antibody is widely used in signal transduction, cardiovascular, and neurobiology research. Western blot analysis typically detects a 40 kilodalton band corresponding to the alpha subunit, while immunofluorescence reveals cytoplasmic and membrane localization. In cancer research, altered expression of GNAI2 has been linked to cell proliferation, epithelial-mesenchymal transition, and metastasis. Overexpression or constitutive activation of GNAI2 can promote oncogenic signaling, whereas loss-of-function mutations may disrupt normal G protein signaling dynamics.Mechanistically, GNAI2 regulates adenylyl cyclase inhibition, phosphatidylinositol 3-kinase (PI3K) activation, and small GTPase modulation. It also interacts with receptor kinases and scaffolding proteins to fine-tune receptor responsiveness. Dysregulation of GNAI2 signaling contributes to cardiovascular dysfunction, immune dysregulation, and tumorigenesis. The GNAI2 antibody enables detailed study of these pathways, supporting analyses of GPCR signaling fidelity and receptor desensitization mechanisms. NSJ Bioreagents provides this antibody validated for its applications, ensuring consistent performance in diverse experimental systems.
| Keywords: | Anti-GNAI2, Anti-Adenylate cyclase-inhibiting G alpha protein, Anti-Guanine nucleotide-binding protein G(i) subunit alpha-2, GNAI2 Antibody / Guanine nucleotide-binding protein alpha-2 |
| Supplier: | NSJ Bioreagents |
| Supplier-Nr: | FY12740 |
Properties
| Application: | WB, IHC, ICC, IF, FC, ELISA |
| Antibody Type: | Polyclonal |
| Conjugate: | No |
| Host: | Rabbit |
| Species reactivity: | human, mouse, rat |
| Immunogen: | E.coli-derived human GNAI2 recombinant protein (Position: R67-N312) |
| Format: | Purified |
Database Information
| KEGG ID : | K04630 | Matching products |
| UniProt ID : | P04899 | Matching products |
| Gene ID : | GeneID 2771 | Matching products |
Handling & Safety
| Storage: | +4°C |
| Shipping: | +4°C (International: +4°C) |
Caution
Our products are for laboratory research use only: Not for administration to humans!
Our products are for laboratory research use only: Not for administration to humans!
Information about the product reference will follow.
more
You will get a certificate here
Viewed