Cookie preferences
This website uses cookies, which are necessary for the technical operation of the website and are always set. Other cookies, which increase the comfort when using this website, are used for direct advertising or to facilitate interaction with other websites and social networks, are only set with your consent.
Configuration
Technically required
These cookies are necessary for the basic functions of the shop.
"Allow all cookies" cookie
"Decline all cookies" cookie
CSRF token
Cookie preferences
Currency change
Customer-specific caching
FACT-Finder tracking
Individual prices
Selected shop
Session
Comfort functions
These cookies are used to make the shopping experience even more appealing, for example for the recognition of the visitor.
Note
Show the facebook fanpage in the right blod sidebar
Statistics & Tracking
Affiliate program
Conversion and usertracking via Google Tag Manager
Track device being used
| Item number | Size | Datasheet | Manual | SDS | Delivery time | Quantity | Price |
|---|---|---|---|---|---|---|---|
| NSJ-R31534 | 100 µg | - | - |
3 - 10 business days* |
790.00€
|
If you have any questions, please use our Contact Form.
You can also order by e-mail: info@biomol.com
Larger quantity required? Request bulk
You can also order by e-mail: info@biomol.com
Larger quantity required? Request bulk
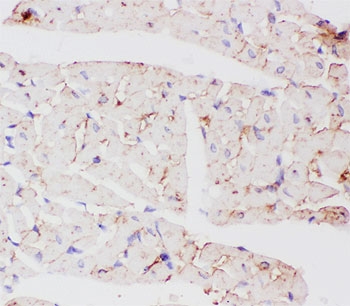
0.5mg/ml if reconstituted with 0.2ml sterile DI water. Glucose transporter 4, also known as... more
Product information "Anti-GLUT4 (Glucose Transporter 4)"
0.5mg/ml if reconstituted with 0.2ml sterile DI water. Glucose transporter 4, also known as SLC2A4 or Solute carrier family 2 (facilitated glucose transporter) member 4, is a protein that in humans is encoded by the GLUT4 gene. It is mapped to 17p13.1. This gene is a member of the solute carrier family 2 (facilitated glucose transporter) family and encodes a protein that functions as an insulin-regulated facilitative glucose transporter. In the absence of insulin, this integral membrane protein is sequestered within the cells of muscle and adipose tissue. Within minutes of insulin stimulation, the protein moves to the cell surface and begins to transport glucose across the cell membrane. Mutations in this gene have been associated with noninsulin-dependent diabetes mellitus (NIDDM). Protein function: Insulin-regulated facilitative glucose transporter. [The UniProt Consortium]
| Keywords: | Anti-GLUT4, Anti-SLC2A4, Anti-GLUT-4, Anti-Glucose transporter type 4, insulin-responsive, Anti-Solute carrier family 2, facilitated glucose transporter member 4, GLUT4 Antibody (Glucose Transporter 4) |
| Supplier: | NSJ Bioreagents |
| Supplier-Nr: | R31534 |
Properties
| Application: | WB, IHC (paraffin), IF |
| Antibody Type: | Polyclonal |
| Conjugate: | No |
| Host: | Rabbit |
| Species reactivity: | human, mouse, rat |
| Immunogen: | Human partial recombinant protein (AA 333-509) was used as the immunogen for this GLUT4 antibody. |
| Format: | Purified |
Database Information
| KEGG ID : | K07191 | Matching products |
| UniProt ID : | P14672 | Matching products |
| Gene ID : | GeneID 6517 | Matching products |
Handling & Safety
| Storage: | +4°C |
| Shipping: | +4°C (International: +4°C) |
Caution
Our products are for laboratory research use only: Not for administration to humans!
Our products are for laboratory research use only: Not for administration to humans!
Information about the product reference will follow.
more
You will get a certificate here
Viewed