Cookie preferences
This website uses cookies, which are necessary for the technical operation of the website and are always set. Other cookies, which increase the comfort when using this website, are used for direct advertising or to facilitate interaction with other websites and social networks, are only set with your consent.
Configuration
Technically required
These cookies are necessary for the basic functions of the shop.
"Allow all cookies" cookie
"Decline all cookies" cookie
CSRF token
Cookie preferences
Currency change
Customer-specific caching
FACT-Finder tracking
Individual prices
Selected shop
Session
Comfort functions
These cookies are used to make the shopping experience even more appealing, for example for the recognition of the visitor.
Note
Show the facebook fanpage in the right blod sidebar
Statistics & Tracking
Affiliate program
Conversion and usertracking via Google Tag Manager
Track device being used
| Item number | Size | Datasheet | Manual | SDS | Delivery time | Quantity | Price |
|---|---|---|---|---|---|---|---|
| NSJ-RQ8925 | 100 µg | - | - |
3 - 10 business days* |
790.00€
|
If you have any questions, please use our Contact Form.
You can also order by e-mail: info@biomol.com
Larger quantity required? Request bulk
You can also order by e-mail: info@biomol.com
Larger quantity required? Request bulk
0.5mg/ml if reconstituted with 0.2ml sterile DI water. GLRX (Glutaredoxin 1) is a small redox... more
Product information "Anti-GLRX / Glutaredoxin 1"
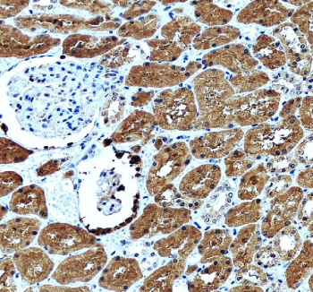
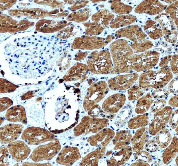
0.5mg/ml if reconstituted with 0.2ml sterile DI water. GLRX (Glutaredoxin 1) is a small redox enzyme that belongs to the thioredoxin family and plays an essential role in maintaining cellular redox homeostasis. It catalyzes the reversible reduction of protein disulfides and mixed disulfides formed between proteins and glutathione, a process known as deglutathionylation. This activity regulates protein function, protects against oxidative stress, and ensures proper signal transduction. Researchers frequently use a GLRX antibody to investigate antioxidant defense systems, redox regulation, and stress responses. GLRX is widely expressed in mammalian tissues, with particularly high levels in heart, liver, and skeletal muscle. Its enzymatic activity is critical in pathways that counteract oxidative damage and maintain the thiol status of proteins. Dysregulation of GLRX has been linked to cardiovascular disease, neurodegenerative disorders, and cancer, where imbalances in redox signaling contribute to disease pathology. Employing a GLRX antibody allows scientists to analyze protein expression, localization, and post-translational modifications in health and disease. In addition to its protective role, GLRX has been implicated in apoptosis, inflammatory responses, and mitochondrial function. It also interacts with iron-sulfur cluster proteins, influencing mitochondrial biogenesis and energy metabolism. Because oxidative stress is a common hallmark of many diseases, GLRX remains an attractive target for translational research. Using a GLRX antibody provides a reliable approach for monitoring its activity and contribution to cellular redox control. NSJ Bioreagents provides a high-quality GLRX antibody validated for applications such as western blot, immunohistochemistry, and immunofluorescence. Choosing a GLRX antibody from NSJ Bioreagents ensures consistent performance and reproducibility in studies of oxidative stress, redox regulation, and disease mechanisms.
| Keywords: | Anti-GLRX, Anti-Glutaredoxin-1, Anti-Thioltransferase-1, GLRX Antibody / Glutaredoxin 1 |
| Supplier: | NSJ Bioreagents |
| Supplier-Nr: | RQ8925 |
Properties
| Application: | WB, IHC (paraffin), FC, IF, ELISA |
| Antibody Type: | Polyclonal |
| Conjugate: | No |
| Host: | Rabbit |
| Species reactivity: | human |
| Immunogen: | A human recombinant partial protein (amino acids M1-Q106) |
| Format: | Purified |
Database Information
| KEGG ID : | K03676 | Matching products |
| UniProt ID : | P35754 | Matching products |
| Gene ID : | GeneID 2745 | Matching products |
Handling & Safety
| Storage: | +4°C |
| Shipping: | +4°C (International: +4°C) |
Caution
Our products are for laboratory research use only: Not for administration to humans!
Our products are for laboratory research use only: Not for administration to humans!
Information about the product reference will follow.
more
You will get a certificate here
Viewed