Anti-GIGYF1

Item number Size Datasheet Manual SDS Delivery time Quantity Price
ATA-HPA020999.25 25 µl -

7 - 10 business days*

246.00€
ATA-HPA020999.100 100 µl -

7 - 10 business days*

491.00€
 
Protein function: May act cooperatively with GRB10 to regulate tyrosine kinase receptor... more
Product information "Anti-GIGYF1"
Protein function: May act cooperatively with GRB10 to regulate tyrosine kinase receptor signaling. May increase IGF1 receptor phosphorylation under IGF1 stimulation as well as phosphorylation of IRS1 and SHC1. [The UniProt Consortium] Buffer: 40% glycerol and PBS (pH 7.2). 0.02% sodium azide is added as preservative. Highest antigen sequence identity to mouse: 89% and to rat: 86%
Keywords: Anti-CDS2, Anti-GIGYF1, Anti-PP3360, Anti-GRB10-interacting GYF protein 1, Anti-PERQ amino acid-rich with GYF domain-containing protein 1
Supplier: Atlas Antibodies
Supplier-Nr: HPA020999

Properties

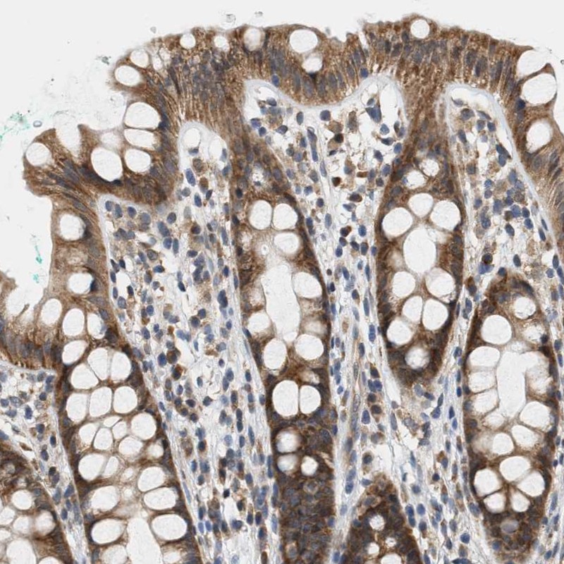
Application: ICC, IHC
Antibody Type: Polyclonal
Conjugate: No
Host: Rabbit
Species reactivity: human
Immunogen: Recombinant Protein Epitope Signature Tag (PrEST) antigen sequence: DTLEAKEFAK QFLERRAKQK ASQQRQQQQE AWLSSASLQT AFQANHSTKL GPGEGSKAKR RALMLHSDPS ILGYSL (ATA-APrEST75012)

Database Information

UniProt ID : O75420 | Matching products
Protein Atlas Nr. : ENSG00000146830

Handling & Safety

Storage: -20°C
Shipping: +20°C (International: +20°C)
Caution
Our products are for laboratory research use only: Not for administration to humans!
You will get a certificate here
or to request a certificate of analysis.
Read, write and discuss reviews... more
Customer review for "Anti-GIGYF1"
Write a review
or to review a product.
Viewed