This website uses cookies, which are necessary for the technical operation of the website and are always set. Other cookies, which increase the comfort when using this website, are used for direct advertising or to facilitate interaction with other websites and social networks, are only set with your consent.
Configuration
Technically required
These cookies are necessary for the basic functions of the shop.
"Allow all cookies" cookie
"Decline all cookies" cookie
CSRF token
Cookie preferences
Currency change
Customer-specific caching
FACT-Finder tracking
Individual prices
Selected shop
Session
Comfort functions
These cookies are used to make the shopping experience even more appealing, for example for the recognition of the visitor.
Note
Show the facebook fanpage in the right blod sidebar
Statistics & Tracking
Affiliate program
Conversion and usertracking via Google Tag Manager
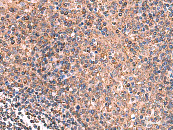
This gene encodes a highly efficient N-acetylgalactosamine (GalNAc) kinase, which has galactokinase activity when galactose is present at high concentrations. The encoded protein is a member of the GHMP kinase family. Alternative splicing results in multiple transcript variants. Protein function: Acts on GalNAc. Also acts as a galactokinase when galactose is present at high concentrations. May be involved in a salvage pathway for the reutilization of free GalNAc derived from the degradation of complex carbohydrates. [The UniProt Consortium]
This website uses cookies, which are necessary for the technical operation of the website and are always set. Other cookies, which increase the usability of this website, serve for direct advertising or simplify interaction with other websites and social networks, will only be used with your consent.
More information