Cookie preferences
This website uses cookies, which are necessary for the technical operation of the website and are always set. Other cookies, which increase the comfort when using this website, are used for direct advertising or to facilitate interaction with other websites and social networks, are only set with your consent.
Configuration
Technically required
These cookies are necessary for the basic functions of the shop.
"Allow all cookies" cookie
"Decline all cookies" cookie
CSRF token
Cookie preferences
Currency change
Customer-specific caching
FACT-Finder tracking
Individual prices
Selected shop
Session
Comfort functions
These cookies are used to make the shopping experience even more appealing, for example for the recognition of the visitor.
Note
Show the facebook fanpage in the right blod sidebar
Statistics & Tracking
Affiliate program
Conversion and usertracking via Google Tag Manager
Track device being used
If you have any questions, please use our Contact Form.
You can also order by e-mail: info@biomol.com
Larger quantity required? Request bulk
You can also order by e-mail: info@biomol.com
Larger quantity required? Request bulk
Galectins are a family of animal lectins defined by shared characteristic amino-acid sequences... more
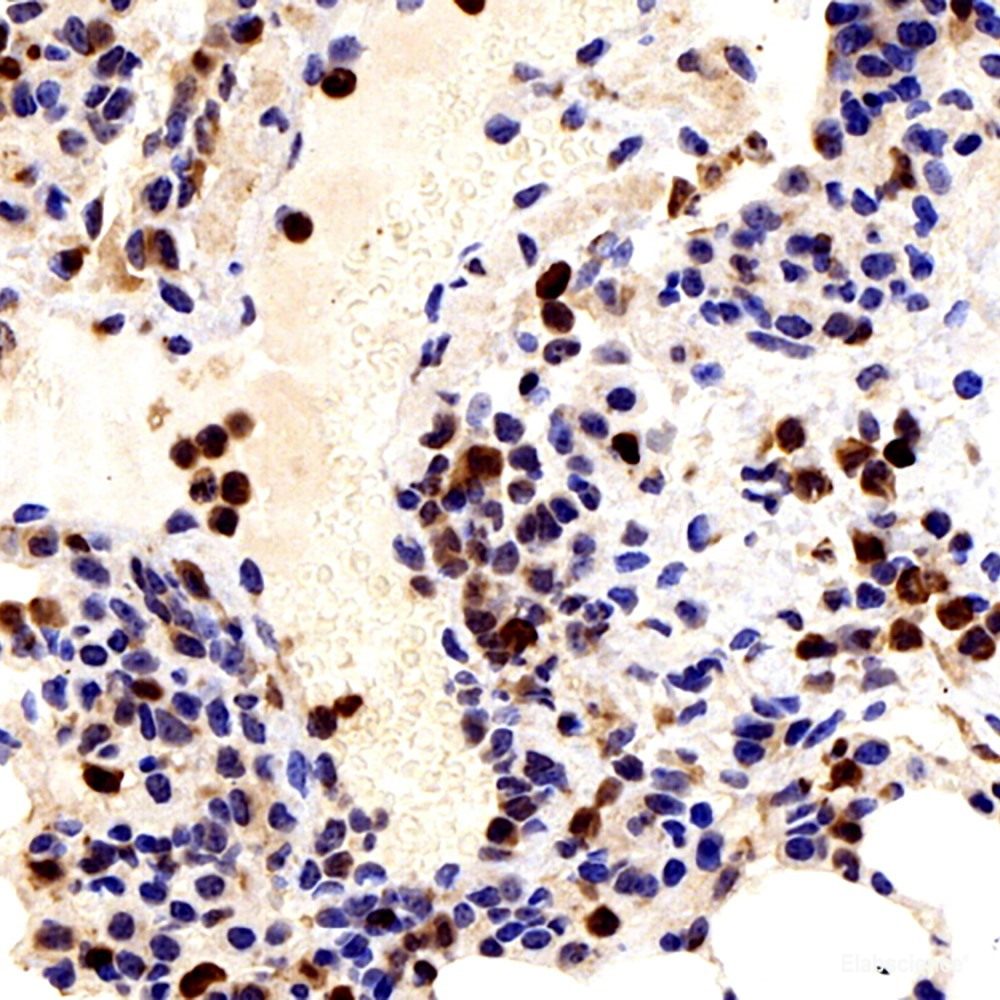
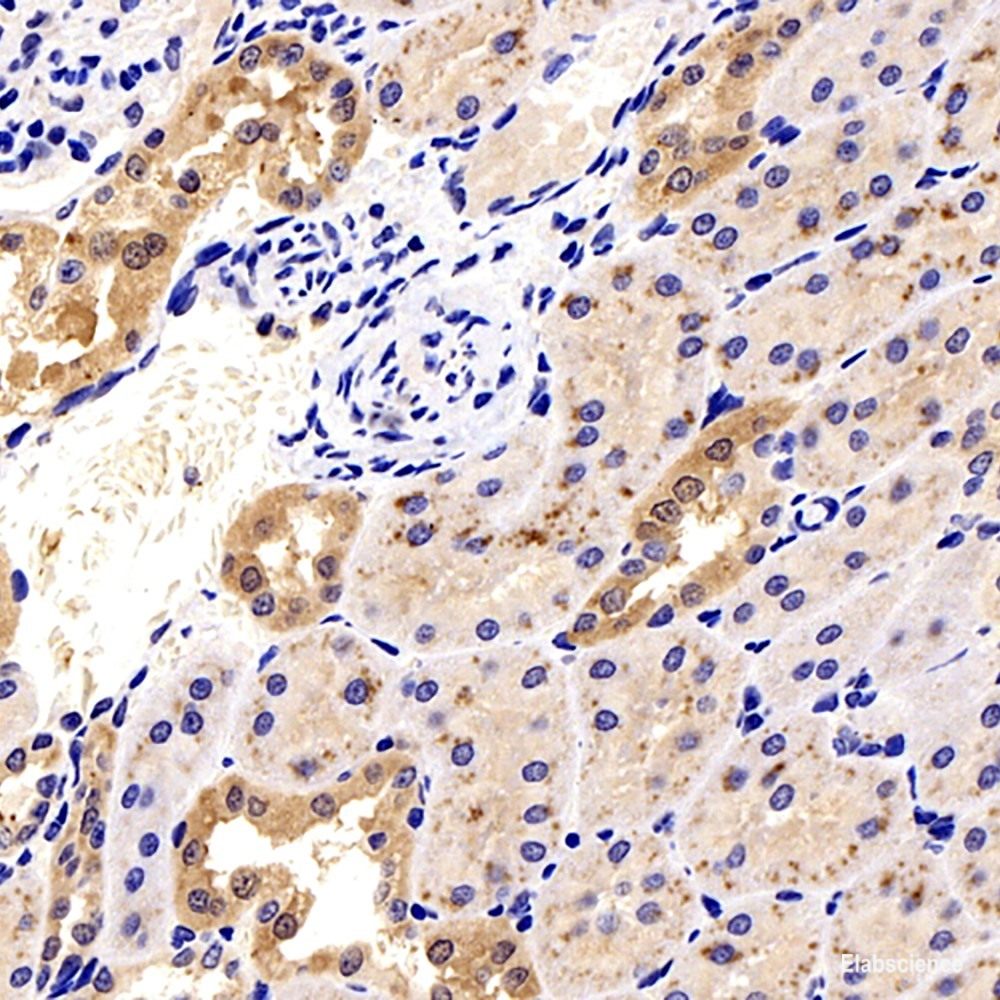
Product information "Anti-Galectin 3"
Galectins are a family of animal lectins defined by shared characteristic amino-acid sequences and affinity for ß-galactose-containing oligosac-charides . Galectin-3 contains one carbohydrate recognition domain (CRD) and a proline- and glycine-rich N-terminal domain through which is able to form oligomers. Galectin-3 is widely expressed in many normal tissues and a variety of tumors. It is found intracellularly in nucleus and cytoplasm or secreted outside of cell,being present on the cell surface or in the extracellular space . Galectin-3 is involved in various biological processes including cell growth,adhesion,differentiation,apoptosis,angiogenesis,immune response,neoplastic transformation and metastasis . Protein function: Galactose-specific lectin which binds IgE. May mediate with the alpha-3, beta-1 integrin the stimulation by CSPG4 of endothelial cells migration. Together with DMBT1, required for terminal differentiation of columnar epithelial cells during early embryogenesis. In the nucleus: acts as a pre-mRNA splicing factor. Involved in acute inflammatory responses including neutrophil activation and adhesion, chemoattraction of monocytes macrophages, opsonization of apoptotic neutrophils, and activation of mast cells. Together with TRIM16, coordinates the recognition of membrane damage with mobilization of the core autophagy regulators ATG16L1 and BECN1 in response to damaged endomembranes. [The UniProt Consortium]
| Keywords: | Anti-MAC2, Anti-L-31, Anti-Gal-3, Anti-GALBP, Anti-CBP 35, Anti-LGALS3, Anti-Galectin-3, Anti-Lectin L-29, Anti-35 kDa lectin, Anti-Mac-2 antigen, Anti-IgE-binding protein, Anti-Laminin-binding protein, Anti-Galactose-specific lectin 3, Galectin 3 Polyclo |
| Supplier: | Elabscience |
| Supplier-Nr: | E-AB-70105 |
Properties
| Application: | IHC |
| Antibody Type: | Polyclonal |
| Conjugate: | No |
| Host: | Rabbit |
| Species reactivity: | human, mouse |
| Immunogen: | Recombinant protein corresponding to Mouse Mac2 |
Database Information
| KEGG ID : | K06831 | Matching products |
| UniProt ID : | P17931 | Matching products |
| Gene ID : | GeneID 3958 | Matching products |
Handling & Safety
| Storage: | -20°C |
| Shipping: | 4°C (International: -20°C) |
Caution
Our products are for laboratory research use only: Not for administration to humans!
Our products are for laboratory research use only: Not for administration to humans!
Information about the product reference will follow.
more
You will get a certificate here
Viewed