This website uses cookies, which are necessary for the technical operation of the website and are always set. Other cookies, which increase the comfort when using this website, are used for direct advertising or to facilitate interaction with other websites and social networks, are only set with your consent.
Configuration
Technically required
These cookies are necessary for the basic functions of the shop.
"Allow all cookies" cookie
"Decline all cookies" cookie
CSRF token
Cookie preferences
Currency change
Customer-specific caching
FACT-Finder tracking
Individual prices
Selected shop
Session
Comfort functions
These cookies are used to make the shopping experience even more appealing, for example for the recognition of the visitor.
Note
Show the facebook fanpage in the right blod sidebar
Statistics & Tracking
Affiliate program
Conversion and usertracking via Google Tag Manager
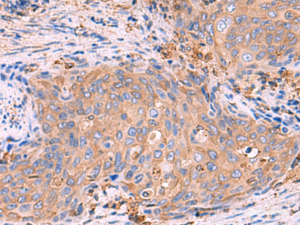
Glucose-6-phosphatase (G6Pase) is a multi-subunit integral membrane protein of the endoplasmic reticulum that is composed of a catalytic subunit and transporters for G6P, inorganic phosphate, and glucose. This gene (G6PC) is one of the three glucose-6-phosphatase catalytic-subunit-encoding genes in human: G6PC, G6PC2 and G6PC3. Glucose-6-phosphatase catalyzes the hydrolysis of D-glucose 6-phosphate to D-glucose and orthophosphate and is a key enzyme in glucose homeostasis, functioning in gluconeogenesis and glycogenolysis. Mutations in this gene cause glycogen storage disease type I (GSD1). This disease, also known as von Gierke disease, is a metabolic disorder characterized by severe hypoglycemia associated with the accumulation of glycogen and fat in the liver and kidneys. Protein function: Hydrolyzes glucose-6-phosphate to glucose in the endoplasmic reticulum. Forms with the glucose-6-phosphate transporter (SLC37A4/G6PT) the complex responsible for glucose production through glycogenolysis and gluconeogenesis. Hence, it is the key enzyme in homeostatic regulation of blood glucose levels. [The UniProt Consortium]
This website uses cookies, which are necessary for the technical operation of the website and are always set. Other cookies, which increase the usability of this website, serve for direct advertising or simplify interaction with other websites and social networks, will only be used with your consent.
More information