Anti-FOXP3

Item number Size Datasheet Manual SDS Delivery time Quantity Price
NSJ-R36030-100UG 100 µg - -

3 - 10 business days*

836.00€
 
0.5 mg/ml in 1X TBS, pH7.3, with 0.5% BSA (US sourced) and 0.02% sodium azide. Additional name(s)... more
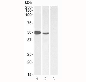
Product information "Anti-FOXP3"
0.5 mg/ml in 1X TBS, pH7.3, with 0.5% BSA (US sourced) and 0.02% sodium azide. Additional name(s) for this target protein: Forkhead box P3, SCURFIN
Keywords: Anti-FOXP3, Anti-Scurfin, Anti-Forkhead box protein P3, FOXP3 Antibody
Supplier: NSJ Bioreagents
Supplier-Nr: R36030

Properties

Application: ICC/IF, WB, FC, ELISA (peptide)
Antibody Type: Polyclonal
Conjugate: No
Host: Goat
Species reactivity: human
Immunogen: Amino acids SQRPSRCSNPTPGP
Format: Purified

Handling & Safety

Storage: -20°C
Shipping: -20°C (International: -20°C)
Caution
Our products are for laboratory research use only: Not for administration to humans!
You will get a certificate here
or to request a certificate of analysis.
Read, write and discuss reviews... more
Customer review for "Anti-FOXP3"
Write a review
or to review a product.
Viewed