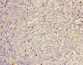
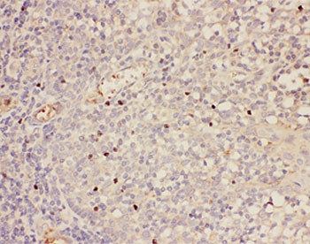
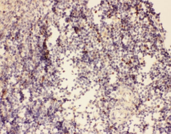
Anti-FOXP3

Item number Size Datasheet Manual SDS Delivery time Quantity Price
NSJ-R30134 100 µg - -

3 - 10 business days*

790.00€
 
0.5mg/ml if reconstituted with 0.2ml sterile DI water. Forkhead box P3 is a protein involved in... more
Product information "Anti-FOXP3"
0.5mg/ml if reconstituted with 0.2ml sterile DI water. Forkhead box P3 is a protein involved in immune system responses. The human FOXP3 genes contain 11 coding exons. Exon-intron boundaries are identical across the coding regions of the mouse and human genes. By genomic sequence analysis, the gene maps to the p arm of the X chromosome(specifically, Xp11.23). A member of the FOX protein family, FOXP3 appears to function as a master regulator in the development and function of regulatory T cells. While the precise control mechanism has not yet been established, FOX proteins belong to the forkhead/winged-helix family of transcriptional regulators and are presumed to exert control via similar DNA binding interactions during transcription. Protein function: Transcriptional regulator which is crucial for the development and inhibitory function of regulatory T-cells (Treg). Plays an essential role in maintaining homeostasis of the immune system by allowing the acquisition of full suppressive function and stability of the Treg lineage, and by directly modulating the expansion and function of conventional T-cells. Can act either as a transcriptional repressor or a transcriptional activator depending on its interactions with other transcription factors, histone acetylases and deacetylases. The suppressive activity of Treg involves the coordinate activation of many genes, including CTLA4 and TNFRSF18 by FOXP3 along with repression of genes encoding cytokines such as interleukin-2 (IL2) and interferon- gamma (IFNG). Inhibits cytokine production and T-cell effector function by repressing the activity of two key transcription factors, RELA and NFATC2 (PubMed:15790681). Mediates transcriptional repression of IL2 via its association with histone acetylase KAT5 and histone deacetylase HDAC7 (PubMed:17360565). Can activate the expression of TNFRSF18, IL2RA and CTLA4 and repress the expression of IL2 and IFNG via its association with transcription factor RUNX1 (PubMed:17377532). Inhibits the differentiation of IL17 producing helper T-cells (Th17) by antagonizing RORC function, leading to down-regulation of IL17 expression, favoring Treg development (PubMed:18368049). Inhibits the transcriptional activator activity of RORA (PubMed:18354202). Can repress the expression of IL2 and IFNG via its association with transcription factor IKZF4. [The UniProt Consortium]
Keywords: Anti-JM2, Anti-IPEX, Anti-FOXP3, FOXP3 Antibody
Supplier: NSJ Bioreagents
Supplier-Nr: R30134

Properties

Application: IHC (paraffin)
Antibody Type: Polyclonal
Conjugate: No
Host: Rabbit
Species reactivity: human, mouse, rat
Immunogen: Human partial recombinant protein (AA 101-431) was used as the immunogen for this FOXP3 antibody.
Format: Purified

Handling & Safety

Storage: +4°C
Shipping: +4°C (International: +4°C)
Caution
Our products are for laboratory research use only: Not for administration to humans!
You will get a certificate here
or to request a certificate of analysis.
Read, write and discuss reviews... more
Customer review for "Anti-FOXP3"
Write a review
or to review a product.
Viewed