Cookie preferences
This website uses cookies, which are necessary for the technical operation of the website and are always set. Other cookies, which increase the comfort when using this website, are used for direct advertising or to facilitate interaction with other websites and social networks, are only set with your consent.
Configuration
Technically required
These cookies are necessary for the basic functions of the shop.
"Allow all cookies" cookie
"Decline all cookies" cookie
CSRF token
Cookie preferences
Currency change
Customer-specific caching
FACT-Finder tracking
Individual prices
Selected shop
Session
Comfort functions
These cookies are used to make the shopping experience even more appealing, for example for the recognition of the visitor.
Note
Show the facebook fanpage in the right blod sidebar
Statistics & Tracking
Affiliate program
Conversion and usertracking via Google Tag Manager
Track device being used
| Item number | Size | Datasheet | Manual | SDS | Delivery time | Quantity | Price |
|---|---|---|---|---|---|---|---|
| ARG59147.50 | 50 µg | - | - |
6 - 14 business days* |
575.00€
|
If you have any questions, please use our Contact Form.
You can also order by e-mail: info@biomol.com
Larger quantity required? Request bulk
You can also order by e-mail: info@biomol.com
Larger quantity required? Request bulk
Protein function: Transcriptional regulator which is crucial for the development and inhibitory... more
Product information "Anti-FOXP3"
Protein function: Transcriptional regulator which is crucial for the development and inhibitory function of regulatory T-cells (Treg). Plays an essential role in maintaining homeostasis of the immune system by allowing the acquisition of full suppressive function and stability of the Treg lineage, and by directly modulating the expansion and function of conventional T-cells. Can act either as a transcriptional repressor or a transcriptional activator depending on its interactions with other transcription factors, histone acetylases and deacetylases. The suppressive activity of Treg involves the coordinate activation of many genes, including CTLA4 and TNFRSF18 by FOXP3 along with repression of genes encoding cytokines such as interleukin-2 (IL2) and interferon- gamma (IFNG). Inhibits cytokine production and T-cell effector function by repressing the activity of two key transcription factors, RELA and NFATC2 (PubMed:15790681). Mediates transcriptional repression of IL2 via its association with histone acetylase KAT5 and histone deacetylase HDAC7. Can activate the expression of TNFRSF18, IL2RA and CTLA4 and repress the expression of IL2 and IFNG via its association with transcription factor RUNX1 (PubMed:17377532). Inhibits the differentiation of IL17 producing helper T-cells (Th17) by antagonizing RORC function, leading to down-regulation of IL17 expression, favoring Treg development (PubMed:18368049). Inhibits the transcriptional activator activity of RORA. Can repress the expression of IL2 and IFNG via its association with transcription factor IKZF4 (PubMed:19696312). [The UniProt Consortium]
| Keywords: | Anti-Foxp3 |
| Supplier: | Arigo Biolaboratories |
| Supplier-Nr: | ARG59147 |
Properties
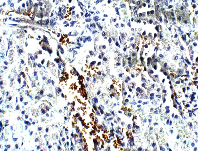
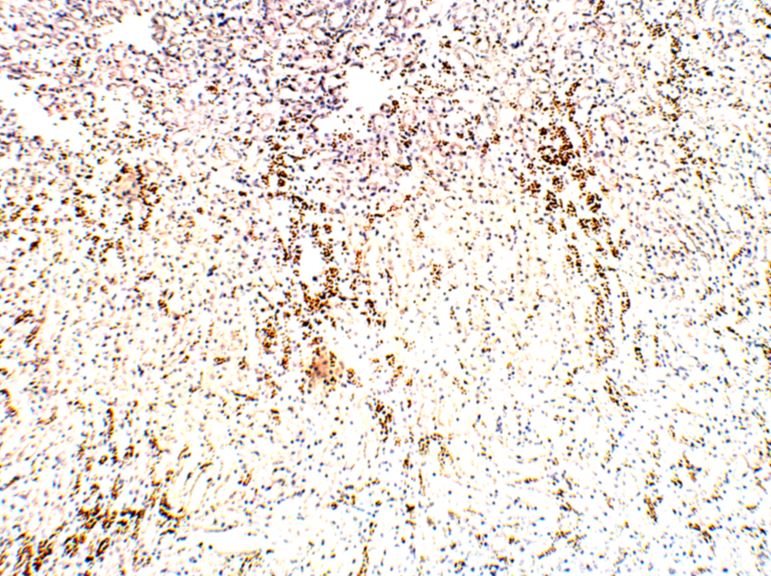
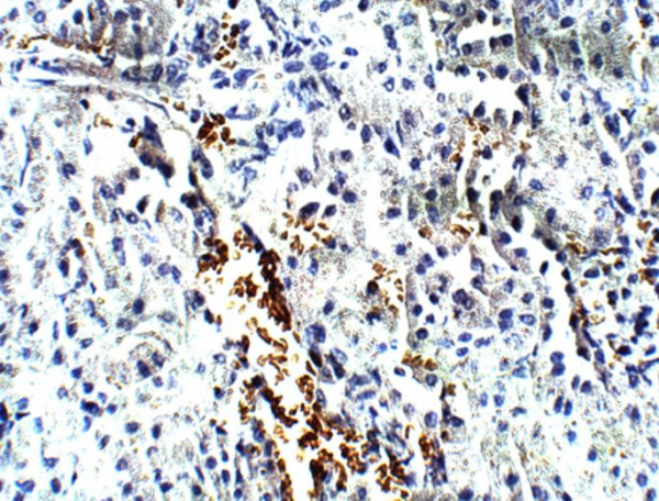
| Application: | ELISA, ICC, IF, IHC (frozen), IHC (paraffin), IP |
| Antibody Type: | Polyclonal |
| Conjugate: | No |
| Host: | Rabbit |
| Species reactivity: | mouse, rat (Expected: human, bovine, cat, deer, monkey, swine) |
| Immunogen: | Synthetic peptide corresponding to aa. 229-250 of Mouse FOXP3. The peptide was post synthetically modified to achieve desired antigenicity before coupling to a carrier protein. (AQCLLQREVVQSLEQQLELEKE) |
| Format: | Affinity Purified |
Database Information
| KEGG ID : | K10163 | Matching products |
| UniProt ID : | Q99JB6 | Matching products |
| Gene ID : | GeneID 20371 | Matching products |
Handling & Safety
| Storage: | -20°C |
| Shipping: | +4°C (International: °C) |
Caution
Our products are for laboratory research use only: Not for administration to humans!
Our products are for laboratory research use only: Not for administration to humans!
Information about the product reference will follow.
more
You will get a certificate here
Viewed