Cookie preferences
This website uses cookies, which are necessary for the technical operation of the website and are always set. Other cookies, which increase the comfort when using this website, are used for direct advertising or to facilitate interaction with other websites and social networks, are only set with your consent.
Configuration
Technically required
These cookies are necessary for the basic functions of the shop.
"Allow all cookies" cookie
"Decline all cookies" cookie
CSRF token
Cookie preferences
Currency change
Customer-specific caching
FACT-Finder tracking
Individual prices
Selected shop
Session
Comfort functions
These cookies are used to make the shopping experience even more appealing, for example for the recognition of the visitor.
Note
Show the facebook fanpage in the right blod sidebar
Statistics & Tracking
Affiliate program
Conversion and usertracking via Google Tag Manager
Track device being used
| Item number | Size | Datasheet | Manual | SDS | Delivery time | Quantity | Price |
|---|---|---|---|---|---|---|---|
| E-AN300228P.100 | 100 µl | - |
7 - 16 business days* |
462.00€
|
If you have any questions, please use our Contact Form.
You can also order by e-mail: info@biomol.com
Larger quantity required? Request bulk
You can also order by e-mail: info@biomol.com
Larger quantity required? Request bulk
Folate receptor beta, also known as Folate receptor 2, FBP, and FOLR2, is a member of the folate... more
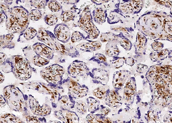
Product information "Anti-FOLR2 Monoclonal Recombinant Antibody"
Folate receptor beta, also known as Folate receptor 2, FBP, and FOLR2, is a member of the folate receptor family. FOLR2 is expressed in placenta and hematopoietic cells. The expression of FOLR2 is increased in malignant tissues. Members of the Folate receptor family members (FOLRs) have a high affinity for folic acid and for several reduced folic acid derivatives. They mediate the delivery of 5-methyltetrahydrofolate to the interior of, out of within, or between cells in a process known as potocytosis. FOLR2 has a 68% and 79% sequence homology with the FOLR1 and FOLR3 proteins, respectively. The FOLR2 protein was originally thought to exist only in placenta, but is also detected in spleen, bone marrow, and thymus. FOLR2 is a marker for macrophages generated in the presence of M-CSF, but not GM-CSF. Its expression correlates with increased folate uptake ability. Folate conjugates of therapeutic drugs are a potential immunotherapy tool to target tumor-associated macrophages. Protein function: Binds to folate and reduced folic acid derivatives and mediates delivery of 5-methyltetrahydrofolate and folate analogs into the interior of cells. Has high affinity for folate and folic acid analogs at neutral pH. Exposure to slightly acidic pH after receptor endocytosis triggers a conformation change that strongly reduces its affinity for folates and mediates their release. [The UniProt Consortium]
| Keywords: | FBP, FOLR2, FR-beta, Folate receptor 2, Folate receptor beta, Placental folate-binding protein, Folate receptor, fetal/placental, Recombinant FOLR2 Monoclonal Antibody |
| Supplier: | Elabscience |
| Supplier-Nr: | E-AN300228P |
Properties
| Application: | IHC (paraffin) |
| Antibody Type: | Monoclonal |
| Clone: | 7A16 |
| Conjugate: | No |
| Host: | Rabbit |
| Species reactivity: | human |
| Immunogen: | Recombinant Human FOLR2 protein |
| Format: | Purified |
Database Information
| KEGG ID : | K13649 | Matching products |
| UniProt ID : | P14207 | Matching products |
| Gene ID : | GeneID 2350 | Matching products |
Handling & Safety
| Storage: | +4°C (avoid repeat freezing and thawing cycles) |
| Shipping: | +4°C (International: +4°C) |
| Signal Word: | Warning |
| GHS Hazard Pictograms: |
|
| H Phrases: | H317 |
| P Phrases: | P261, P272, P280, P302+352, P333+313 |
Caution
Our products are for laboratory research use only: Not for administration to humans!
Our products are for laboratory research use only: Not for administration to humans!
Information about the product reference will follow.
more
You will get a certificate here
Viewed