This website uses cookies, which are necessary for the technical operation of the website and are always set. Other cookies, which increase the comfort when using this website, are used for direct advertising or to facilitate interaction with other websites and social networks, are only set with your consent.
Configuration
Technically required
These cookies are necessary for the basic functions of the shop.
"Allow all cookies" cookie
"Decline all cookies" cookie
CSRF token
Cookie preferences
Currency change
Customer-specific caching
FACT-Finder tracking
Individual prices
Selected shop
Session
Comfort functions
These cookies are used to make the shopping experience even more appealing, for example for the recognition of the visitor.
Note
Show the facebook fanpage in the right blod sidebar
Statistics & Tracking
Affiliate program
Conversion and usertracking via Google Tag Manager
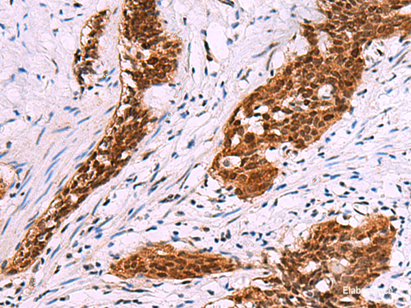
FKBP52 (FK506 binding protein 4) is a member of the immunophilin protein family that comprises intracellular protein effectors of immunosuppressive drugs,and it is known as a steroid receptor-associated protein. As a novel regulator of microtubule dynamics,FKBP52 is associated with the motor protein dynein and with the cytoskeleton during mitosis. FKBP52 is highly expressed in CNS regions susceptible to Alzheimer's,and plays a role in modulating toxicity of Abeta peptides. The protein can associate with the Tau function,and may help to decipher and modulate the events involved in Tau-induced neurodegeneration. In addition,FKBP52 is likely to play a role in growth and development of the male genitalia. Protein function: Immunophilin protein with PPIase and co-chaperone activities. Component of steroid receptors heterocomplexes through interaction with heat-shock protein 90 (HSP90). May play a role in the intracellular trafficking of heterooligomeric forms of steroid hormone receptors between cytoplasm and nuclear compartments. The isomerase activity controls neuronal growth cones via regulation of TRPC1 channel opening. Acts also as a regulator of microtubule dynamics by inhibiting MAPT/TAU ability to promote microtubule assembly. May have a protective role against oxidative stress in mitochondria. [The UniProt Consortium]
This website uses cookies, which are necessary for the technical operation of the website and are always set. Other cookies, which increase the usability of this website, serve for direct advertising or simplify interaction with other websites and social networks, will only be used with your consent.
More information