Anti-FCGRT

Item number Size Datasheet Manual SDS Delivery time Quantity Price
ARG58592.50 50 µg - -

6 - 14 business days*

551.00€
 
Protein function: Cell surface receptor that transfers passive humoral immunity from the mother... more
Product information "Anti-FCGRT"
Protein function: Cell surface receptor that transfers passive humoral immunity from the mother to the newborn. Binds to the Fc region of monomeric immunoglobulin gamma and mediates its selective uptake from milk (PubMed:7964511, PubMed:10933786). IgG in the milk is bound at the apical surface of the intestinal epithelium. The resultant FcRn-IgG complexes are transcytosed across the intestinal epithelium and IgG is released from FcRn into blood or tissue fluids. Throughout life, contributes to effective humoral immunity by recycling IgG and extending its half-life in the circulation. Mechanistically, monomeric IgG binding to FcRn in acidic endosomes of endothelial and hematopoietic cells recycles IgG to the cell surface where it is released into the circulation (PubMed:10998088). In addition of IgG, regulates homeostasis of the other most abundant circulating protein albumin/ALB (PubMed:24469444, PubMed:28330995). [The UniProt Consortium]
Keywords: Anti-FcRn, Anti-FCRN, Anti-FCGRT, Anti-Neonatal Fc receptor, Anti-IgG receptor FcRn large subunit p51, Anti-IgG Fc fragment receptor transporter alpha chain
Supplier: Arigo Biolaboratories
Supplier-Nr: ARG58592

Properties

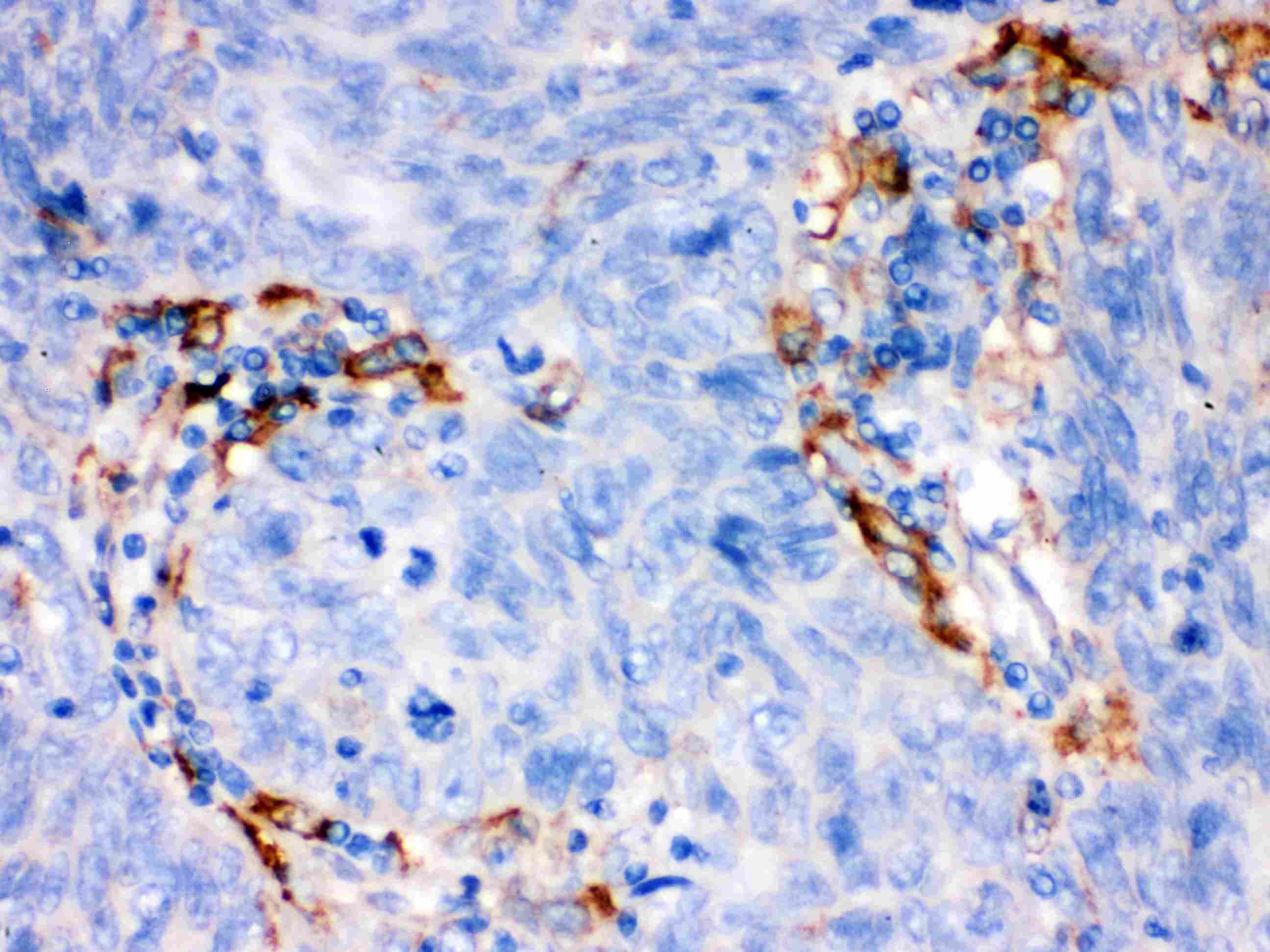
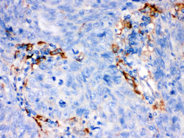
Application: IHC (paraffin), WB
Antibody Type: Polyclonal
Conjugate: No
Host: Rabbit
Species reactivity: human
Immunogen: Recombinant protein corresponding to Q56-E291 of Human FCGRT
MW: 40 kD
Format: Antigen Affinity Purified

Handling & Safety

Storage: -20°C
Shipping: +4°C (International: °C)
Caution
Our products are for laboratory research use only: Not for administration to humans!
You will get a certificate here
or to request a certificate of analysis.
Read, write and discuss reviews... more
Customer review for "Anti-FCGRT"
Write a review
or to review a product.
Viewed