Anti-FAT4

Item number Size Datasheet Manual SDS Delivery time Quantity Price
ATA-HPA052819.25 25 µl -

7 - 10 business days*

246.00€
ATA-HPA052819.100 100 µl -

7 - 10 business days*

491.00€
 
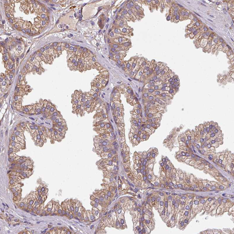
Protein function: Cadherins are calcium-dependent cell adhesion proteins. FAT4 plays a role in... more
Product information "Anti-FAT4"
Protein function: Cadherins are calcium-dependent cell adhesion proteins. FAT4 plays a role in the maintenance of planar cell polarity as well as in inhibition of YAP1-mediated neuroprogenitor cell proliferation and differentiation. [The UniProt Consortium] Buffer: 40% glycerol and PBS (pH 7.2). 0.02% sodium azide is added as preservative. Highest antigen sequence identity to mouse: 97% and to rat: 97%
Keywords: Anti-FAT4, Anti-hFat4, Anti-CDHF14, Anti-Nbla00548, Anti-Protocadherin Fat 4, Anti-Cadherin family member 14, Anti-FAT tumor suppressor homolog 4, Anti-Fat-like cadherin protein FAT-J
Supplier: Atlas Antibodies
Supplier-Nr: HPA052819

Properties

Application: ICC, IHC
Antibody Type: Polyclonal
Conjugate: No
Host: Rabbit
Species reactivity: human
Immunogen: Recombinant Protein Epitope Signature Tag (PrEST) antigen sequence: FDDPDNIPPY GDDMTVRKQP EGNPKPDIIE RENPYLIYDE TDIPHNSETI PSAPLASPEQ EIEHYDIDNA SSIAPSDADI IQHYKQFRSH T (ATA-APrEST86007)

Database Information

KEGG ID : K16669 | Matching products
UniProt ID : Q6V0I7 | Matching products
Gene ID : GeneID 79633 | Matching products
Protein Atlas Nr. : ENSG00000196159

Handling & Safety

Storage: -20°C
Shipping: +20°C (International: +20°C)
Caution
Our products are for laboratory research use only: Not for administration to humans!
You will get a certificate here
or to request a certificate of analysis.
Read, write and discuss reviews... more
Customer review for "Anti-FAT4"
Write a review
or to review a product.
Viewed