Cookie preferences
This website uses cookies, which are necessary for the technical operation of the website and are always set. Other cookies, which increase the comfort when using this website, are used for direct advertising or to facilitate interaction with other websites and social networks, are only set with your consent.
Configuration
Technically required
These cookies are necessary for the basic functions of the shop.
"Allow all cookies" cookie
"Decline all cookies" cookie
CSRF token
Cookie preferences
Currency change
Customer-specific caching
FACT-Finder tracking
Individual prices
Selected shop
Session
Comfort functions
These cookies are used to make the shopping experience even more appealing, for example for the recognition of the visitor.
Note
Show the facebook fanpage in the right blod sidebar
Statistics & Tracking
Affiliate program
Conversion and usertracking via Google Tag Manager
Track device being used
If you have any questions, please use our Contact Form.
You can also order by e-mail: info@biomol.com
Larger quantity required? Request bulk
You can also order by e-mail: info@biomol.com
Larger quantity required? Request bulk
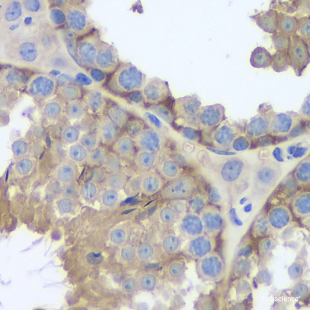
FAS,also named as CD95,APO-1,APT1,FAS1 and TNFRSF6,is a receptor for TNFSF6/FASLG. It is a cell... more
Product information "Anti-FAS, clone 10E5B10"
FAS,also named as CD95,APO-1,APT1,FAS1 and TNFRSF6,is a receptor for TNFSF6/FASLG. It is a cell surface receptor belonging to the TNF receptor superfamily,can mediates apoptosis by ligation with an agonistic anti-Fas antibody or Fas ligand. Stimulation of Fas results in the aggregation of its intracellular death domains,leading to the formation of the death-inducing signaling complex (DISC). FAS-mediated apoptosis may have a role in the induction of peripheral tolerance,in the antigen-stimulated suicide of mature T-cells,or both. The secreted isoforms 2 to 6 block apoptosis (in vitro). This anti-Fas monoclonal antibody can be used to induce apoptosis in cell cultures through Fas by imitating the Fas-ligand. Protein function: Receptor for TNFSF6/FASLG. The adapter molecule FADD recruits caspase-8 to the activated receptor. The resulting death-inducing signaling complex (DISC) performs caspase-8 proteolytic activation which initiates the subsequent cascade of caspases (aspartate-specific cysteine proteases) mediating apoptosis. FAS-mediated apoptosis may have a role in the induction of peripheral tolerance, in the antigen- stimulated suicide of mature T-cells, or both. The secreted isoforms 2 to 6 block apoptosis (in vitro). [The UniProt Consortium]
| Keywords: | Anti-FAS, Anti-CD95, Anti-APT1, Anti-Apo-1 antigen, Anti-FASLG receptor, Anti-Apoptosis-mediating surface antigen FAS, Anti-Tumor necrosis factor receptor superfamily member 6, FAS Monoclonal Antibody |
| Supplier: | Elabscience |
| Supplier-Nr: | E-AB-70174 |
Properties
| Application: | IHC |
| Antibody Type: | Monoclonal |
| Clone: | 10E5B10 |
| Conjugate: | No |
| Host: | Mouse |
| Species reactivity: | human, mouse |
| Immunogen: | KLH conjugated Synthetic peptide corresponding to Mouse FAS |
Database Information
| KEGG ID : | K04390 | Matching products |
| UniProt ID : | P25445 | Matching products |
| Gene ID : | GeneID 355 | Matching products |
Handling & Safety
| Storage: | -20°C |
| Shipping: | -20°C (International: -20°C) |
Caution
Our products are for laboratory research use only: Not for administration to humans!
Our products are for laboratory research use only: Not for administration to humans!
Information about the product reference will follow.
more
You will get a certificate here
Viewed