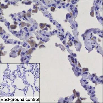
Anti-FAM13A

Item number Size Datasheet Manual SDS Delivery time Quantity Price
ABS-KC-1223.50 50 µl - -

Request delivery time estimate

206.00€
ABS-KC-1223.100 100 µl - -

Request delivery time estimate

295.00€
 
Product information "Anti-FAM13A"
Keywords: Anti-Protein FAM13A, FAM13A Antibody
Supplier: Absea
Supplier-Nr: KC-1223

Properties

Application: IHC
Antibody Type: Monoclonal
Clone: 13F7
Conjugate: No
Host: Mouse
Species reactivity: human
Immunogen: Recombinant human FAM13A
Format: Solution

Database Information

UniProt ID : O94988 | Matching products
Gene ID : GeneID 10144 | Matching products

Handling & Safety

Storage: -20°C (avoid repeat freezing and thawing cycles)
Shipping: +4°C (International: +4°C)
Caution
Our products are for laboratory research use only: Not for administration to humans!
Information about the product reference will follow. more
You will get a certificate here
or to request a certificate of analysis.
Read, write and discuss reviews... more
Customer review for "Anti-FAM13A"
Write a review
or to review a product.
Viewed