Cookie preferences
This website uses cookies, which are necessary for the technical operation of the website and are always set. Other cookies, which increase the comfort when using this website, are used for direct advertising or to facilitate interaction with other websites and social networks, are only set with your consent.
Configuration
Technically required
These cookies are necessary for the basic functions of the shop.
"Allow all cookies" cookie
"Decline all cookies" cookie
CSRF token
Cookie preferences
Currency change
Customer-specific caching
FACT-Finder tracking
Individual prices
Selected shop
Session
Comfort functions
These cookies are used to make the shopping experience even more appealing, for example for the recognition of the visitor.
Note
Show the facebook fanpage in the right blod sidebar
Statistics & Tracking
Affiliate program
Conversion and usertracking via Google Tag Manager
Track device being used
| Item number | Size | Datasheet | Manual | SDS | Delivery time | Quantity | Price |
|---|---|---|---|---|---|---|---|
| NSJ-R30401 | 100 µg | - | - |
3 - 10 business days* |
790.00€
|
If you have any questions, please use our Contact Form.
You can also order by e-mail: info@biomol.com
Larger quantity required? Request bulk
You can also order by e-mail: info@biomol.com
Larger quantity required? Request bulk
0.5mg/ml if reconstituted with 0.2ml sterile DI water. Heart-type fatty acid binding protein... more
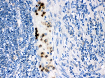
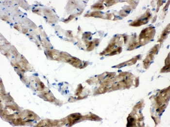
Product information "Anti-FABP3 (cardiac)"
0.5mg/ml if reconstituted with 0.2ml sterile DI water. Heart-type fatty acid binding protein (hFABP) also known as mammary-derived growth inhibitor is a protein that in humans is encoded by the FABP3 gene. The intracellular fatty acid-binding proteins (FABPs) belongs to a multigene family. The Fatty acid-binding protein 3 gene contains four exons and its function is to arrest growth of mammary epithelial cells. This gene is also a candidate tumor suppressor gene for human breast cancer. Cardiac-type fatty acid-binding protein(cFABP) from human heart muscle of three individuals was isolated and characterized as pI 5.3-cFABP. Protein function: FABP are thought to play a role in the intracellular transport of long-chain fatty acids and their acyl-CoA esters. [The UniProt Consortium]
| Keywords: | Anti-MDGI, Anti-FABP3, Anti-FABP11, Anti-H-FABP, Anti-M-FABP, Anti-Fatty acid-binding protein 3, Anti-Mammary-derived growth inhibitor, Anti-Fatty acid-binding protein, heart, Anti-Muscle fatty acid-binding protein, FABP3 Antibody (cardiac) |
| Supplier: | NSJ Bioreagents |
| Supplier-Nr: | R30401 |
Properties
| Application: | WB, IHC (paraffin), IF |
| Antibody Type: | Polyclonal |
| Conjugate: | No |
| Host: | Rabbit |
| Species reactivity: | human |
| Immunogen: | An amino acid sequence from the C-terminus of human cardiac FABP3 (THGTAVCTRTYEKEA) was used as the immunogen for this FABP3 antibody. |
| Format: | Purified |
Database Information
| KEGG ID : | K08752 | Matching products |
| UniProt ID : | P05413 | Matching products |
| Gene ID : | GeneID 2170 | Matching products |
Handling & Safety
| Storage: | +4°C |
| Shipping: | +4°C (International: +4°C) |
Caution
Our products are for laboratory research use only: Not for administration to humans!
Our products are for laboratory research use only: Not for administration to humans!
Information about the product reference will follow.
more
You will get a certificate here
Viewed