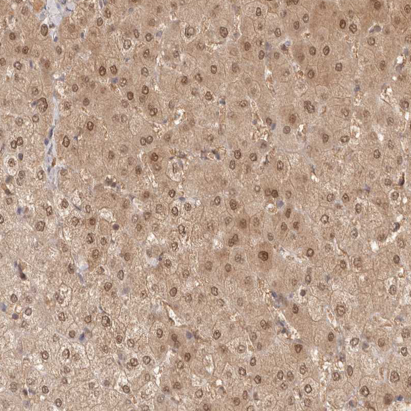
Anti-FABP1

Item number Size Datasheet Manual SDS Delivery time Quantity Price
ATA-HPA028275.25 25 µl -

7 - 10 business days*

330.00€
ATA-HPA028275.100 100 µl -

7 - 10 business days*

463.00€
 
Protein function: Plays a role in lipoprotein-mediated cholesterol uptake in hepatocytes... more
Product information "Anti-FABP1"
Protein function: Plays a role in lipoprotein-mediated cholesterol uptake in hepatocytes (PubMed:25732850). Binds cholesterol (PubMed:25732850). Binds free fatty acids and their coenzyme A derivatives, bilirubin, and some other small molecules in the cytoplasm. May be involved in intracellular lipid transport. [The UniProt Consortium] Buffer: 40% glycerol and PBS (pH 7.2). 0.02% sodium azide is added as preservative. Highest antigen sequence identity to mouse: 84% and to rat: 83%
Keywords: Anti-FABPL, Anti-FABP1, Anti-L-FABP, Anti-Fatty acid-binding protein 1, Anti-Fatty acid-binding protein, liver, Anti-Liver-type fatty acid-binding protein
Supplier: Atlas Antibodies
Supplier-Nr: HPA028275

Properties

Application: ICC, IHC, WB
Antibody Type: Polyclonal
Conjugate: No
Host: Rabbit
Species reactivity: human, mouse, rat
Immunogen: Recombinant Protein Epitope Signature Tag (PrEST) antigen sequence: MSFSGKYQLQ SQENFEAFMK AIGLPEELIQ KGKDIKGVSE IVQNGKHFKF TITAGSKVIQ NEFTVGEECE LETMTGEKVK TVVQLEGDNK LVTTFKNIKS VTELNGDIIT NTMTLGDIVF KRISKRI (ATA-APrEST73851)

Database Information

KEGG ID : K08750 | Matching products
UniProt ID : P07148 | Matching products
Gene ID : GeneID 2168 | Matching products
Protein Atlas Nr. : ENSG00000163586

Handling & Safety

Storage: -20°C
Shipping: +20°C (International: +20°C)
Caution
Our products are for laboratory research use only: Not for administration to humans!
You will get a certificate here
or to request a certificate of analysis.
Read, write and discuss reviews... more
Customer review for "Anti-FABP1"
Write a review
or to review a product.
Viewed