Cookie preferences
This website uses cookies, which are necessary for the technical operation of the website and are always set. Other cookies, which increase the comfort when using this website, are used for direct advertising or to facilitate interaction with other websites and social networks, are only set with your consent.
Configuration
Technically required
These cookies are necessary for the basic functions of the shop.
"Allow all cookies" cookie
"Decline all cookies" cookie
CSRF token
Cookie preferences
Currency change
Customer-specific caching
FACT-Finder tracking
Individual prices
Selected shop
Session
Comfort functions
These cookies are used to make the shopping experience even more appealing, for example for the recognition of the visitor.
Note
Show the facebook fanpage in the right blod sidebar
Statistics & Tracking
Affiliate program
Conversion and usertracking via Google Tag Manager
Track device being used
| Item number | Size | Datasheet | Manual | SDS | Delivery time | Quantity | Price |
|---|---|---|---|---|---|---|---|
| NSJ-FY13187 | 100 µg | - | - |
3 - 10 business days* |
790.00€
|
If you have any questions, please use our Contact Form.
You can also order by e-mail: info@biomol.com
Larger quantity required? Request bulk
You can also order by e-mail: info@biomol.com
Larger quantity required? Request bulk
Adding 0.2 ml of distilled water will yield a concentration of 500 ug/ml. EVC2 antibody detects... more
Product information "Anti-EVC2 / Ellis-van Creveld syndrome protein 2"
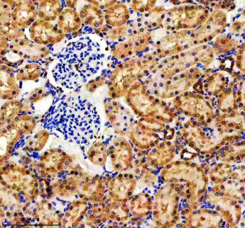
Adding 0.2 ml of distilled water will yield a concentration of 500 ug/ml. EVC2 antibody detects Ellis-van Creveld syndrome protein 2, a ciliary basal body protein required for Hedgehog signaling and skeletal development. The UniProt recommended name is Ellis-van Creveld syndrome protein 2 (EVC2). Also known as Limbin, this protein anchors signaling complexes at the base of the primary cilium, coordinating receptor localization and developmental signal transduction.Functionally, EVC2 antibody identifies a 1,285-amino-acid transmembrane protein localized to the ciliary pocket region. EVC2 forms a complex with EVC, tethering Hedgehog pathway components such as Smoothened and Gli transcription factors at the cilium base to modulate downstream transcriptional activity. It is essential for skeletal morphogenesis and growth plate function.The EVC2 gene is located on chromosome 4p16.2 and is expressed in ciliated tissues, including cartilage, bone, and embryonic organs. Proper EVC2 function maintains ciliary integrity and ensures controlled Hedgehog pathway activation during tissue differentiation.Pathologically, mutations in EVC2 cause Ellis-van Creveld syndrome and Weyers acrofacial dysostosis, characterized by short stature, polydactyly, and craniofacial abnormalities. Disruption of EVC2 impairs Hedgehog signaling, leading to developmental malformations. Research using EVC2 antibody supports studies in ciliopathies, developmental biology, and skeletal genetics.EVC2 antibody is validated for western blotting, immunofluorescence, and immunohistochemistry to detect ciliary and developmental proteins. NSJ Bioreagents provides EVC2 antibody reagents optimized for cilia structure, signaling, and morphogenesis research.Structurally, Ellis-van Creveld syndrome protein 2 is a membrane-tethered scaffold with coiled-coil domains that mediate interaction with EVC and ciliary membrane components. This antibody enables examination of EVC2's function in Hedgehog signaling and developmental regulation.
| Keywords: | Anti-Evc2, Anti-Limbin, EVC2 Antibody / Ellis-van Creveld syndrome protein 2 |
| Supplier: | NSJ Bioreagents |
| Supplier-Nr: | FY13187 |
Properties
| Application: | WB, IHC, IF, ELISA |
| Antibody Type: | Polyclonal |
| Conjugate: | No |
| Host: | Rabbit |
| Species reactivity: | mouse, rat |
| Immunogen: | E.coli-derived mouse EVC2 recombinant protein (Position: Q379-D901) |
| Format: | Purified |
Database Information
| KEGG ID : | K19608 | Matching products |
| UniProt ID : | Q8K1G2 | Matching products |
| Gene ID : | GeneID 68525 | Matching products |
Handling & Safety
| Storage: | +4°C |
| Shipping: | +4°C (International: +4°C) |
Caution
Our products are for laboratory research use only: Not for administration to humans!
Our products are for laboratory research use only: Not for administration to humans!
Information about the product reference will follow.
more
You will get a certificate here
Viewed