Cookie preferences
This website uses cookies, which are necessary for the technical operation of the website and are always set. Other cookies, which increase the comfort when using this website, are used for direct advertising or to facilitate interaction with other websites and social networks, are only set with your consent.
Configuration
Technically required
These cookies are necessary for the basic functions of the shop.
"Allow all cookies" cookie
"Decline all cookies" cookie
CSRF token
Cookie preferences
Currency change
Customer-specific caching
FACT-Finder tracking
Individual prices
Selected shop
Session
Comfort functions
These cookies are used to make the shopping experience even more appealing, for example for the recognition of the visitor.
Note
Show the facebook fanpage in the right blod sidebar
Statistics & Tracking
Affiliate program
Conversion and usertracking via Google Tag Manager
Track device being used
| Item number | Size | Datasheet | Manual | SDS | Delivery time | Quantity | Price |
|---|---|---|---|---|---|---|---|
| NSJ-R32052 | 100 µg | - | - |
3 - 10 business days* |
790.00€
|
If you have any questions, please use our Contact Form.
You can also order by e-mail: info@biomol.com
Larger quantity required? Request bulk
You can also order by e-mail: info@biomol.com
Larger quantity required? Request bulk
0.5mg/ml if reconstituted with 0.2ml sterile DI water. PDIA3 (Protein disulfide isomerase family... more
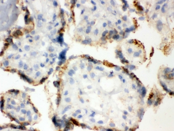
Product information "Anti-ERp57 / PDIA3"
0.5mg/ml if reconstituted with 0.2ml sterile DI water. PDIA3 (Protein disulfide isomerase family A, member 3), also called GRP58, Erp57 or ER60, is an isomerase enzyme. It is mapped on 15q15.3. PDIA3 is also part of the major histocompatibility complex (MHC) class I peptide-loading complex, which is essential for formation of the final antigen conformation and export from the endoplasmic reticulum to the cell surface. This gene encodes a protein of the endoplasmic reticulum that interacts with lectin chaperones calreticulin and calnexin to modulate folding of newly synthesized glycoproteins. The protein was once thought to be a phospholipase, however, it has been demonstrated that the protein actually has protein disulfide isomerase activity. It is thought that complexes of lectins and this protein mediate protein folding by promoting formation of disulfide bonds in their glycoprotein substrates.
| Keywords: | Anti-p58, Anti-PDIA3, Anti-ERp57, Anti-ERp60, Anti-ERP57, EC=5.3.4.1, Anti-ER protein 60, Anti-ER protein 57, Anti-Disulfide isomerase ER-60, Anti-58 kDa microsomal protein, Anti-Protein disulfide-isomerase A3, Anti-58 kDa glucose-regulated protein, ERp57 |
| Supplier: | NSJ Bioreagents |
| Supplier-Nr: | R32052 |
Properties
| Application: | WB, IHC (paraffin), IHC (frozen) |
| Antibody Type: | Polyclonal |
| Conjugate: | No |
| Host: | Rabbit |
| Species reactivity: | human, mouse, rat |
| Immunogen: | Amino acids RELSDFISYLQREATNPPVIQEEKPKKKKKAQEDL of human PDIA3/ERp57 were used as the immunogen for the PDIA3 antibody. |
| Format: | Purified |
Database Information
| KEGG ID : | K08056 | Matching products |
| UniProt ID : | P30101 | Matching products |
| Gene ID : | GeneID 2923 | Matching products |
Handling & Safety
| Storage: | -20°C |
| Shipping: | -20°C (International: -20°C) |
Caution
Our products are for laboratory research use only: Not for administration to humans!
Our products are for laboratory research use only: Not for administration to humans!
Information about the product reference will follow.
more
You will get a certificate here
Viewed