Cookie preferences
This website uses cookies, which are necessary for the technical operation of the website and are always set. Other cookies, which increase the comfort when using this website, are used for direct advertising or to facilitate interaction with other websites and social networks, are only set with your consent.
Configuration
Technically required
These cookies are necessary for the basic functions of the shop.
"Allow all cookies" cookie
"Decline all cookies" cookie
CSRF token
Cookie preferences
Currency change
Customer-specific caching
FACT-Finder tracking
Individual prices
Selected shop
Session
Comfort functions
These cookies are used to make the shopping experience even more appealing, for example for the recognition of the visitor.
Note
Show the facebook fanpage in the right blod sidebar
Statistics & Tracking
Affiliate program
Conversion and usertracking via Google Tag Manager
Track device being used
| Item number | Size | Datasheet | Manual | SDS | Delivery time | Quantity | Price |
|---|---|---|---|---|---|---|---|
| E-AN300267P.20 | 20 µl | - |
7 - 16 business days* |
182.00€
|
|||
| E-AN300267P.100 | 100 µl | - |
7 - 16 business days* |
462.00€
|
If you have any questions, please use our Contact Form.
You can also order by e-mail: info@biomol.com
Larger quantity required? Request bulk
You can also order by e-mail: info@biomol.com
Larger quantity required? Request bulk
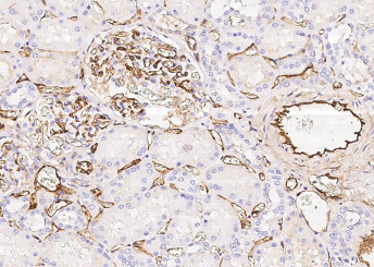
The protein encoded by this gene is a receptor for activated protein C, a serine protease... more
Product information "Anti-Epcr/PROCR Monoclonal Recombinant Antibody"
The protein encoded by this gene is a receptor for activated protein C, a serine protease activated by and involved in the blood coagulation pathway. The encoded protein is an N-glycosylated type I membrane protein that enhances the activation of protein C. Mutations in this gene have been associated with venous thromboembolism and myocardial infarction, as well as with late fetal loss during pregnancy. The encoded protein may also play a role in malarial infection and has been associated with cancer. Protein function: Binds activated protein C. Enhances protein C activation by the thrombin-thrombomodulin complex, plays a role in the protein C pathway controlling blood coagulation. [The UniProt Consortium]
| Keywords: | EPCR, CD201, PROCR, APC receptor, Activated protein C receptor, Endothelial protein C receptor, Endothelial cell protein C receptor, Recombinant Epcr/PROCR Monoclonal Antibody |
| Supplier: | Elabscience |
| Supplier-Nr: | E-AN300267P |
Properties
| Application: | IHC (paraffin) |
| Antibody Type: | Monoclonal |
| Clone: | 12B3 |
| Conjugate: | No |
| Host: | Rabbit |
| Species reactivity: | human |
| Immunogen: | Recombinant Human Epcr / PROCR protein |
| Format: | Purified |
Database Information
| KEGG ID : | K06557 | Matching products |
| UniProt ID : | Q9UNN8 | Matching products |
| Gene ID : | GeneID 10544 | Matching products |
Handling & Safety
| Storage: | +4°C (avoid repeat freezing and thawing cycles) |
| Shipping: | +4°C (International: +4°C) |
| Signal Word: | Warning |
| GHS Hazard Pictograms: |
|
| H Phrases: | H317 |
| P Phrases: | P261, P272, P280, P302+352, P333+313 |
Caution
Our products are for laboratory research use only: Not for administration to humans!
Our products are for laboratory research use only: Not for administration to humans!
Information about the product reference will follow.
more
You will get a certificate here
Viewed