Cookie preferences
This website uses cookies, which are necessary for the technical operation of the website and are always set. Other cookies, which increase the comfort when using this website, are used for direct advertising or to facilitate interaction with other websites and social networks, are only set with your consent.
Configuration
Technically required
These cookies are necessary for the basic functions of the shop.
"Allow all cookies" cookie
"Decline all cookies" cookie
CSRF token
Cookie preferences
Currency change
Customer-specific caching
FACT-Finder tracking
Individual prices
Selected shop
Session
Comfort functions
These cookies are used to make the shopping experience even more appealing, for example for the recognition of the visitor.
Note
Show the facebook fanpage in the right blod sidebar
Statistics & Tracking
Affiliate program
Conversion and usertracking via Google Tag Manager
Track device being used
| Item number | Size | Datasheet | Manual | SDS | Delivery time | Quantity | Price |
|---|---|---|---|---|---|---|---|
| NSJ-RQ5345 | 100 µg | - | - |
3 - 10 business days* |
790.00€
|
If you have any questions, please use our Contact Form.
You can also order by e-mail: info@biomol.com
Larger quantity required? Request bulk
You can also order by e-mail: info@biomol.com
Larger quantity required? Request bulk
0.5mg/ml if reconstituted with 0.2ml sterile DI water. NOS3 (Nitric Oxide Synthase 3), also... more
Product information "Anti-eNos / NOS3"
0.5mg/ml if reconstituted with 0.2ml sterile DI water. NOS3 (Nitric Oxide Synthase 3), also called ENOS, anitric oxide synthasethat generatesNOinblood vesselsand is involved with regulatingvascular toneby inhibitingsmooth musclecontraction and plateletaggregation. The NOS3 gene is mapped on 7q36.1. Variations in this gene are associated with susceptibility tocoronary spasm. Fulton et al.(1999) concluded the eNOS is an AKT substrate linking signal transduction by AKT to the release of the gaseous second messenger nitric oxide. AKT mediates the activation of eNOS, leading to increased nitric oxide production. Inhibition of the PI3K AKT pathway or mutation of the AKT site on eNOS protein at serine-1177 attenuated the serine phosphorylation and prevented the activation of eNOS. RT-PCR analysis showed that expression ofNOS3in human umbilical vein endothelial cells (HUVECs) and human aortic vascular smooth muscle cells (HAOVSMCs) was inversely proportional to that of NOS3AS.
| Keywords: | Anti-NOS3, Anti-EC-NOS, Anti-NOS type III, Anti-Constitutive NOS, Anti-Nitric oxide synthase 3, Anti-Nitric oxide synthase, endothelial, eNos Antibody / NOS3 |
| Supplier: | NSJ Bioreagents |
| Supplier-Nr: | RQ5345 |
Properties
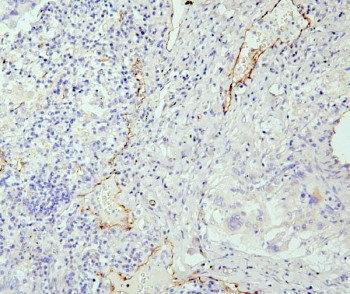
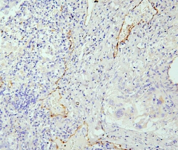
| Application: | WB, IHC (paraffin), FC, Direct ELISA |
| Antibody Type: | Polyclonal |
| Conjugate: | No |
| Host: | Rabbit |
| Species reactivity: | human, mouse, rat |
| Immunogen: | Amino acids Q1052-P1203 from the human protein |
| Format: | Purified |
Database Information
| KEGG ID : | K13242 | Matching products |
| UniProt ID : | P29474 | Matching products |
| Gene ID : | GeneID 4846 | Matching products |
Handling & Safety
| Storage: | -20°C |
| Shipping: | -20°C (International: -20°C) |
Caution
Our products are for laboratory research use only: Not for administration to humans!
Our products are for laboratory research use only: Not for administration to humans!
Information about the product reference will follow.
more
You will get a certificate here
Viewed