Anti-DSP

Item number Size Datasheet Manual SDS Delivery time Quantity Price
ATA-HPA045840.25 25 µl -

7 - 10 business days*

330.00€
ATA-HPA045840.100 100 µl -

7 - 10 business days*

463.00€
 
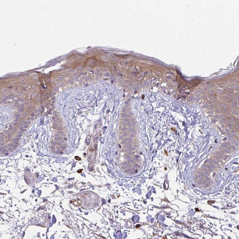
Protein function: Major high molecular weight protein of desmosomes. Involved in the organization... more
Product information "Anti-DSP"
Protein function: Major high molecular weight protein of desmosomes. Involved in the organization of the desmosomal cadherin-plakoglobin complexes into discrete plasma membrane domains and in the anchoring of intermediate filaments to the desmosomes. [The UniProt Consortium] Buffer: 40% glycerol and PBS (pH 7.2). 0.02% sodium azide is added as preservative. Highest antigen sequence identity to mouse: 92% and to rat: 91%
Keywords: Anti-DP, Anti-DSP, Anti-Desmoplakin, Anti-250/210 kDa paraneoplastic pemphigus antigen
Supplier: Atlas Antibodies
Supplier-Nr: HPA045840

Properties

Application: IHC
Antibody Type: Polyclonal
Conjugate: No
Host: Rabbit
Species reactivity: human
Immunogen: Recombinant Protein Epitope Signature Tag (PrEST) antigen sequence: NHNKVIETNR ENDKQETWML MELQKIRRQI EHCEGRMTLK NLPLADQGSS HHITVKINEL KSVQNDSQAI AEVLNQLKDM LANFRGSEKY CYLQNEVF (ATA-APrEST88685)

Database Information

KEGG ID : K10381 | Matching products
UniProt ID : P15924 | Matching products
Gene ID : GeneID 1832 | Matching products
Protein Atlas Nr. : ENSG00000096696

Handling & Safety

Storage: -20°C
Shipping: +20°C (International: +20°C)
Caution
Our products are for laboratory research use only: Not for administration to humans!
You will get a certificate here
or to request a certificate of analysis.
Read, write and discuss reviews... more
Customer review for "Anti-DSP"
Write a review
or to review a product.
Viewed