Cookie preferences
This website uses cookies, which are necessary for the technical operation of the website and are always set. Other cookies, which increase the comfort when using this website, are used for direct advertising or to facilitate interaction with other websites and social networks, are only set with your consent.
Configuration
Technically required
These cookies are necessary for the basic functions of the shop.
"Allow all cookies" cookie
"Decline all cookies" cookie
CSRF token
Cookie preferences
Currency change
Customer-specific caching
FACT-Finder tracking
Individual prices
Selected shop
Session
Comfort functions
These cookies are used to make the shopping experience even more appealing, for example for the recognition of the visitor.
Note
Show the facebook fanpage in the right blod sidebar
Statistics & Tracking
Affiliate program
Conversion and usertracking via Google Tag Manager
Track device being used
| Item number | Size | Datasheet | Manual | SDS | Delivery time | Quantity | Price |
|---|---|---|---|---|---|---|---|
| 600-401-AV9 | 100 µg | - | - |
6 - 10 business days* |
848.00€
|
If you have any questions, please use our Contact Form.
You can also order by e-mail: info@biomol.com
Larger quantity required? Request bulk
You can also order by e-mail: info@biomol.com
Larger quantity required? Request bulk
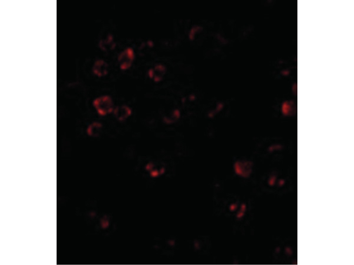
Anti-DISC1 Antibody was affinity purified from monospecific antiserum by immunoaffinity... more
Product information "Anti-DISC1"
Anti-DISC1 Antibody was affinity purified from monospecific antiserum by immunoaffinity chromatography. Cross reactivity with DISC1 from other sources has not been determined. Protein function: Involved in the regulation of multiple aspects of embryonic and adult neurogenesis. Required for neural progenitor proliferation in the ventrical/subventrical zone during embryonic brain development and in the adult dentate gyrus of the hippocampus. Participates in the Wnt-mediated neural progenitor proliferation as a positive regulator by modulating GSK3B activity and CTNNB1 abundance. Plays a role as a modulator of the AKT-mTOR signaling pathway controlling the tempo of the process of newborn neurons integration during adult neurogenesis, including neuron positioning, dendritic development and synapse formation. Inhibits the activation of AKT-mTOR signaling upon interaction with CCDC88A. Regulates the migration of early-born granule cell precursors toward the dentate gyrus during the hippocampal development. Plays a role, together with PCNT, in the microtubule network formation. [The UniProt Consortium]
| Keywords: | Anti-DISC1, Anti-KIAA0457, Anti-Disrupted in schizophrenia 1 protein |
| Supplier: | Rockland Immunochemicals |
| Supplier-Nr: | 600-401-AV9 |
Properties
| Application: | ELISA, IHC, IFM, WB |
| Antibody Type: | Polyclonal |
| Conjugate: | No |
| Host: | Rabbit |
| Species reactivity: | human, mouse |
| Immunogen: | 18 amino acid synthetic peptide from near the internal region of human DISC1. |
| Format: | Purified |
Database Information
| KEGG ID : | K16534 | Matching products |
| UniProt ID : | Q9NRI5 | Matching products |
| Gene ID : | GeneID 27185 | Matching products |
Handling & Safety
| Storage: | -20°C |
| Shipping: | -20°C (International: -20°C) |
Caution
Our products are for laboratory research use only: Not for administration to humans!
Our products are for laboratory research use only: Not for administration to humans!
Information about the product reference will follow.
more
You will get a certificate here
Viewed