This website uses cookies, which are necessary for the technical operation of the website and are always set. Other cookies, which increase the comfort when using this website, are used for direct advertising or to facilitate interaction with other websites and social networks, are only set with your consent.
Configuration
Technically required
These cookies are necessary for the basic functions of the shop.
"Allow all cookies" cookie
"Decline all cookies" cookie
CSRF token
Cookie preferences
Currency change
Customer-specific caching
FACT-Finder tracking
Individual prices
Selected shop
Session
Comfort functions
These cookies are used to make the shopping experience even more appealing, for example for the recognition of the visitor.
Note
Show the facebook fanpage in the right blod sidebar
Statistics & Tracking
Affiliate program
Conversion and usertracking via Google Tag Manager
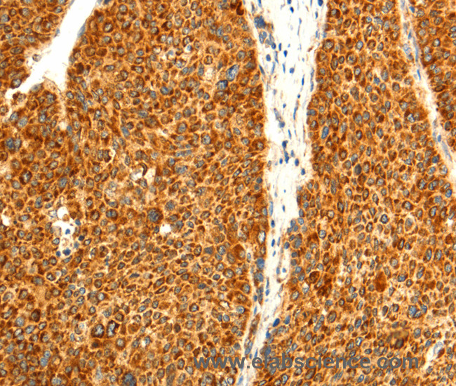
This gene encodes an inhibitor of apoptosis protein (IAP)-binding protein. The encoded mitochondrial protein enters the cytosol when cells undergo apoptosis, and it moderates the caspase inhibition of IAPs. Multiple polyadenylation sites have been found for this gene. Four alternatively spliced transcript variants have been described for this gene, with two of them encoding different isoforms and the other two probably not encoding a protein. Ubiquitously expressed with highest expression in testis. Expression is also high in heart, liver, kidney, spleen, prostate and ovary. Low in brain, lung, thymus and peripheral blood leukocytes. Isoform 3 is ubiquitously expressed. Protein function: Promotes apoptosis by activating caspases in the cytochrome c/Apaf-1/caspase-9 pathway. Acts by opposing the inhibitory activity of inhibitor of apoptosis proteins (IAP). Inhibits the activity of BIRC6/bruce by inhibiting its binding to caspases. Isoform 3 attenuates the stability and apoptosis- inhibiting activity of XIAP/BIRC4 by promoting XIAP/BIRC4 ubiquitination and degradation through the ubiquitin-proteasome pathway. Isoform 3 also disrupts XIAP/BIRC4 interacting with processed caspase-9 and promotes caspase-3 activation. Isoform 1 is defective in the capacity to down-regulate the XIAP/BIRC4 abundance. [The UniProt Consortium]
Keywords:
Anti-Smac, Anti-SMAC, Anti-DIABLO, Anti-Diablo homolog, mitochondrial, Anti-Direct IAP-binding protein with low pI, Anti-Second mitochondria-derived activator of caspase, DIABLO Polyclonal Antibody
This website uses cookies, which are necessary for the technical operation of the website and are always set. Other cookies, which increase the usability of this website, serve for direct advertising or simplify interaction with other websites and social networks, will only be used with your consent.
More information