Cookie preferences
This website uses cookies, which are necessary for the technical operation of the website and are always set. Other cookies, which increase the comfort when using this website, are used for direct advertising or to facilitate interaction with other websites and social networks, are only set with your consent.
Configuration
Technically required
These cookies are necessary for the basic functions of the shop.
"Allow all cookies" cookie
"Decline all cookies" cookie
CSRF token
Cookie preferences
Currency change
Customer-specific caching
FACT-Finder tracking
Individual prices
Selected shop
Session
Comfort functions
These cookies are used to make the shopping experience even more appealing, for example for the recognition of the visitor.
Note
Show the facebook fanpage in the right blod sidebar
Statistics & Tracking
Affiliate program
Conversion and usertracking via Google Tag Manager
Track device being used
| Item number | Size | Datasheet | Manual | SDS | Delivery time | Quantity | Price |
|---|---|---|---|---|---|---|---|
| NSJ-RQ6469 | 100 µg | - | - |
3 - 10 business days* |
790.00€
|
If you have any questions, please use our Contact Form.
You can also order by e-mail: info@biomol.com
Larger quantity required? Request bulk
You can also order by e-mail: info@biomol.com
Larger quantity required? Request bulk
0.5mg/ml if reconstituted with 0.2ml sterile DI water. Deoxyhypusine synthase is an enzyme that... more
Product information "Anti-Deoxyhypusine synthase / DHPS / DHS"
0.5mg/ml if reconstituted with 0.2ml sterile DI water. Deoxyhypusine synthase is an enzyme that in humans is encoded by the DHPS gene. This gene encodes a protein that is required for the formation of hypusine, a unique amino acid formed by the posttranslational modification of only one protein, eukaryotic translation initiation factor 5A. The encoded protein catalyzes the first step in hypusine formation by transferring the butylamine moiety of spermidine to a specific lysine residue of the eukaryotic translation initiation factor 5A precursor, forming an intermediate deoxyhypusine residue. Alternatively spliced transcript variants encoding multiple isoforms have been observed for this gene. Protein function: Catalyzes the NAD-dependent oxidative cleavage of spermidine and the subsequent transfer of the butylamine moiety of spermidine to the epsilon-amino group of a critical lysine residue of the eIF-5A precursor protein to form the intermediate deoxyhypusine residue (PubMed:30661771). This is the first step of the post-translational modification of that lysine into an unusual amino acid residue named hypusine. Hypusination is unique to mature eIF-5A factor and is essential for its function. [The UniProt Consortium]
| Keywords: | Anti-DS, Anti-DHS, Anti-DHPS, Anti-Deoxyhypusine synthase, Deoxyhypusine synthase Antibody / DHPS / DHS |
| Supplier: | NSJ Bioreagents |
| Supplier-Nr: | RQ6469 |
Properties
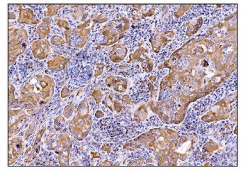
| Application: | WB, IHC (paraffin), IF, FC, Direct ELISA |
| Antibody Type: | Polyclonal |
| Conjugate: | No |
| Host: | Rabbit |
| Species reactivity: | human, mouse, rat |
| Immunogen: | An E. coli-derived human protein (amino acids F54-K358) |
| Format: | Posttranslational Mod. |
Database Information
| KEGG ID : | K00809 | Matching products |
| UniProt ID : | P49366 | Matching products |
| Gene ID : | GeneID 1725 | Matching products |
Handling & Safety
| Storage: | +4°C |
| Shipping: | +4°C (International: +4°C) |
Caution
Our products are for laboratory research use only: Not for administration to humans!
Our products are for laboratory research use only: Not for administration to humans!
Information about the product reference will follow.
more
You will get a certificate here
Viewed