Anti-DDX24

Item number Size Datasheet Manual SDS Delivery time Quantity Price
ATA-HPA002554.25 25 µl -

7 - 10 business days*

246.00€
ATA-HPA002554.100 100 µl -

7 - 10 business days*

491.00€
 
Protein function: ATP-dependent RNA helicase. [The UniProt Consortium] Buffer: 40% glycerol and... more
Product information "Anti-DDX24"
Protein function: ATP-dependent RNA helicase. [The UniProt Consortium] Buffer: 40% glycerol and PBS (pH 7.2). 0.02% sodium azide is added as preservative. Highest antigen sequence identity to mouse: 83% and to rat: 83%
Keywords: Anti-DDX24, EC=3.6.4.13, Anti-DEAD box protein 24, Anti-ATP-dependent RNA helicase DDX24
Supplier: Atlas Antibodies
Supplier-Nr: HPA002554

Properties

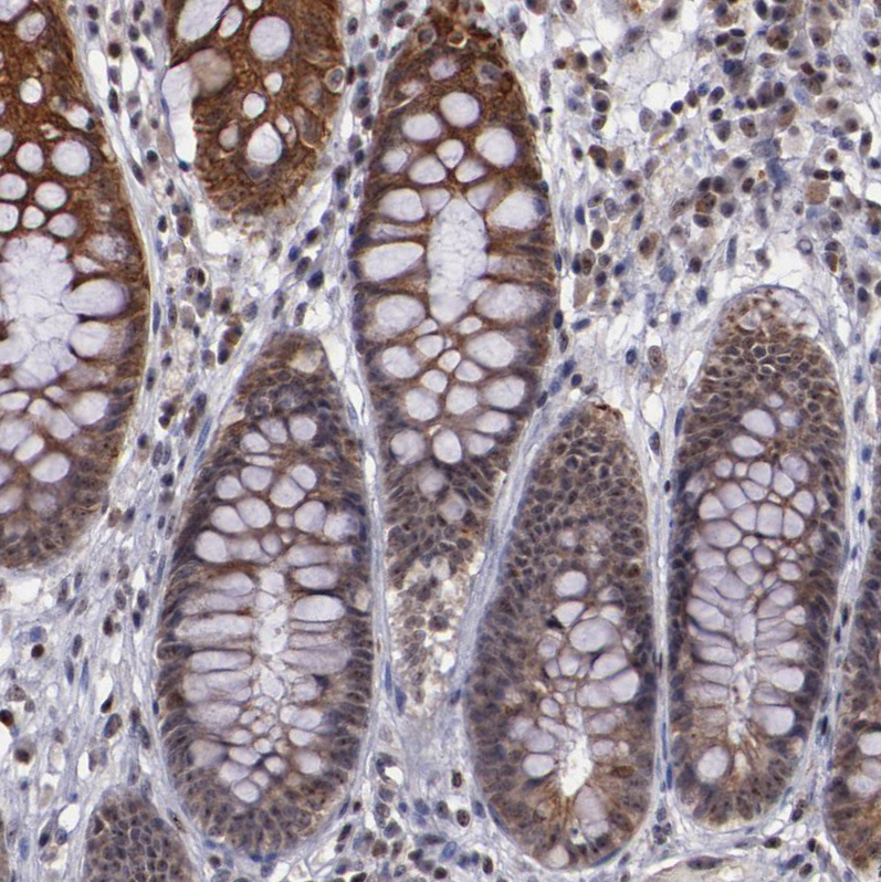
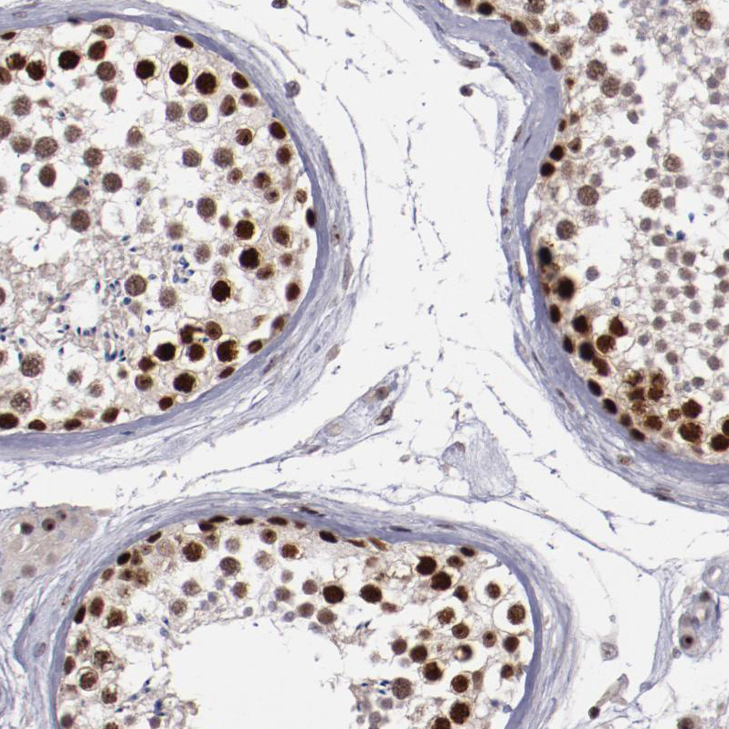
Application: ICC, IHC
Antibody Type: Polyclonal
Conjugate: No
Host: Rabbit
Species reactivity: human
Immunogen: Recombinant Protein Epitope Signature Tag (PrEST) antigen sequence: FPVQTKYMDV VKERIRLARQ IEKSEYRNFQ ACLHNSWIEQ AAAALEIELE EDMYKGGKAD QQEERRRQKQ MKVLKKELRH LLSQPLFTES QKTKYPTQSG KPPLLVSAPS KSESALSCLS KQKKKKTKKP KE (ATA-APrEST70538)

Database Information

KEGG ID : K14805 | Matching products
UniProt ID : Q9GZR7 | Matching products
Gene ID : GeneID 57062 | Matching products
Protein Atlas Nr. : ENSG00000089737

Handling & Safety

Storage: -20°C
Shipping: +20°C (International: +20°C)
Caution
Our products are for laboratory research use only: Not for administration to humans!
You will get a certificate here
or to request a certificate of analysis.
Read, write and discuss reviews... more
Customer review for "Anti-DDX24"
Write a review
or to review a product.
Viewed