Cookie preferences
This website uses cookies, which are necessary for the technical operation of the website and are always set. Other cookies, which increase the comfort when using this website, are used for direct advertising or to facilitate interaction with other websites and social networks, are only set with your consent.
Configuration
Technically required
These cookies are necessary for the basic functions of the shop.
"Allow all cookies" cookie
"Decline all cookies" cookie
CSRF token
Cookie preferences
Currency change
Customer-specific caching
FACT-Finder tracking
Individual prices
Selected shop
Session
Comfort functions
These cookies are used to make the shopping experience even more appealing, for example for the recognition of the visitor.
Note
Show the facebook fanpage in the right blod sidebar
Statistics & Tracking
Affiliate program
Conversion and usertracking via Google Tag Manager
Track device being used
| Item number | Size | Datasheet | Manual | SDS | Delivery time | Quantity | Price |
|---|---|---|---|---|---|---|---|
| A300-462A-T | 10 µl (2 µg) | - |
2 - 8 business days* |
165.00€
|
|||
| A300-462A | 100 µl | - |
2 - 8 business days* |
586.00€
|
If you have any questions, please use our Contact Form.
You can also order by e-mail: info@biomol.com
Larger quantity required? Request bulk
You can also order by e-mail: info@biomol.com
Larger quantity required? Request bulk
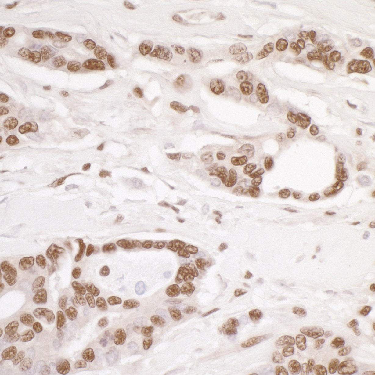
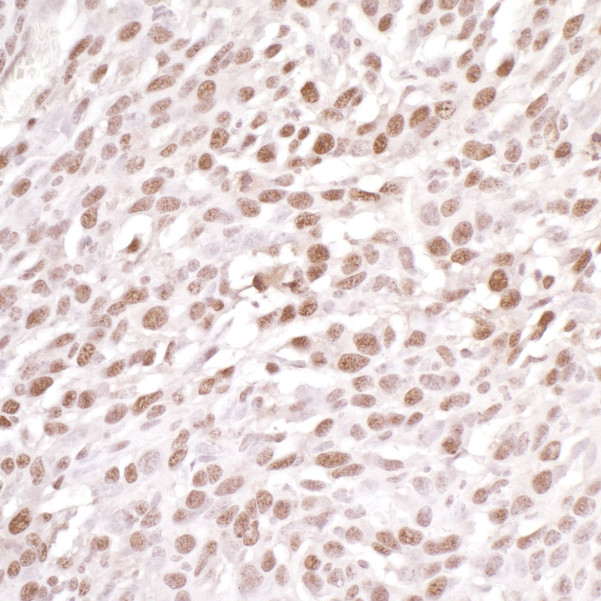
Protein function: Required for DNA repair. Binds to DDB2 to form the UV- damaged DNA-binding... more
Product information "Anti-DDB1"
Protein function: Required for DNA repair. Binds to DDB2 to form the UV- damaged DNA-binding protein complex (the UV-DDB complex). The UV- DDB complex may recognize UV-induced DNA damage and recruit proteins of the nucleotide excision repair pathway (the NER pathway) to initiate DNA repair. The UV-DDB complex preferentially binds to cyclobutane pyrimidine dimers (CPD), 6-4 photoproducts (6-4 PP), apurinic sites and short mismatches. Also appears to function as a component of numerous distinct DCX (DDB1-CUL4-X-box) E3 ubiquitin-protein ligase complexes which mediate the ubiquitination and subsequent proteasomal degradation of target proteins. The functional specificity of the DCX E3 ubiquitin- protein ligase complex is determined by the variable substrate recognition component recruited by DDB1. DCX(DDB2) (also known as DDB1-CUL4-ROC1, CUL4-DDB-ROC1 and CUL4-DDB-RBX1) may ubiquitinate histone H2A, histone H3 and histone H4 at sites of UV-induced DNA damage. The ubiquitination of histones may facilitate their removal from the nucleosome and promote subsequent DNA repair. DCX(DDB2) also ubiquitinates XPC, which may enhance DNA-binding by XPC and promote NER. DCX(DTL) plays a role in PCNA-dependent polyubiquitination of CDT1 and MDM2-dependent ubiquitination of TP53 in response to radiation-induced DNA damage and during DNA replication. DCX(ERCC8) (the CSA complex) plays a role in transcription-coupled repair (TCR). May also play a role in ubiquitination of CDKN1B/p27kip when associated with CUL4 and SKP2. [The UniProt Consortium]
| Keywords: | Anti-XPCe, Anti-DDB1, Anti-DDBa, Anti-XAP1, Anti-XAP-1, Anti-XPE-BF, Anti-UV-DDB 1, Anti-DDB p127 subunit, Anti-XPE-binding factor, Anti-HBV X-associated protein 1, Anti-DNA damage-binding protein 1, Anti-DNA damage-binding protein a |
| Supplier: | Bethyl Laboratories |
| Supplier-Nr: | A300-462A |
Properties
| Application: | WB, IP, IHC |
| Antibody Type: | Polyclonal |
| Conjugate: | No |
| Host: | Rabbit |
| Species reactivity: | human, mouse (Expected: rat, X. laevis, bovine, orangutan) |
| Immunogen: | synthetic peptide. The epitope recognized by A300-462A-T maps to a region between residue 1100 and the C-terminus (residue 1140) of human damage-specific DNA binding protein 1 using the numbering given in TrEMBL entry Q13289 (GeneID 1642). |
| Format: | Antigen Affinity Purified |
Database Information
| KEGG ID : | K10610 | Matching products |
| UniProt ID : | Q16531 | Matching products |
| Gene ID : | GeneID 1642 | Matching products |
Handling & Safety
| Storage: | +4°C |
| Shipping: | +4°C (International: +4°C) |
Caution
Our products are for laboratory research use only: Not for administration to humans!
Our products are for laboratory research use only: Not for administration to humans!
Information about the product reference will follow.
more
You will get a certificate here
Viewed