This website uses cookies, which are necessary for the technical operation of the website and are always set. Other cookies, which increase the comfort when using this website, are used for direct advertising or to facilitate interaction with other websites and social networks, are only set with your consent.
Configuration
Technically required
These cookies are necessary for the basic functions of the shop.
"Allow all cookies" cookie
"Decline all cookies" cookie
CSRF token
Cookie preferences
Currency change
Customer-specific caching
FACT-Finder tracking
Individual prices
Selected shop
Session
Comfort functions
These cookies are used to make the shopping experience even more appealing, for example for the recognition of the visitor.
Note
Show the facebook fanpage in the right blod sidebar
Statistics & Tracking
Affiliate program
Conversion and usertracking via Google Tag Manager
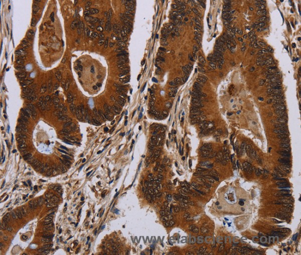
NRIP (Nuclear receptor interaction protein), also known as IQWD1 ( IQ motif and WD repeat-containing protein 1), MSTP055, ARCAP or PC326, is an 860 amino acid protein that localizes to the nucleus and contains one IQ domain and seven WD-repeats. Expressed in testis, skeletal muscle, prostate and heart, NRIP functions as a ligand-dependent coactivator of nuclear receptors and specifically enhances the transcriptional activity of AR (androgen receptor) and GR (glucocorticoid receptor). NRIP exists as three isoforms that are produced by alternative splicing events. Protein function: Ligand-dependent coactivator of nuclear receptors. Enhance transcriptional activity of the nuclear receptors NR3C1 and AR. May function as a substrate receptor for CUL4-DDB1 E3 ubiquitin-protein ligase complex. [The UniProt Consortium]
Keywords:
Anti-NRIP, Anti-DCAF6, Anti-ARCAP, Anti-IQWD1, Anti-MSTP055, Anti-DDB1- and CUL4-associated factor 6, Anti-Nuclear receptor interaction protein, Anti-IQ motif and WD repeat-containing protein 1, Anti-Androgen receptor complex-associated protein, DCAF6 Pol
This website uses cookies, which are necessary for the technical operation of the website and are always set. Other cookies, which increase the usability of this website, serve for direct advertising or simplify interaction with other websites and social networks, will only be used with your consent.
More information