Cookie preferences
This website uses cookies, which are necessary for the technical operation of the website and are always set. Other cookies, which increase the comfort when using this website, are used for direct advertising or to facilitate interaction with other websites and social networks, are only set with your consent.
Configuration
Technically required
These cookies are necessary for the basic functions of the shop.
"Allow all cookies" cookie
"Decline all cookies" cookie
CSRF token
Cookie preferences
Currency change
Customer-specific caching
FACT-Finder tracking
Individual prices
Selected shop
Session
Comfort functions
These cookies are used to make the shopping experience even more appealing, for example for the recognition of the visitor.
Note
Show the facebook fanpage in the right blod sidebar
Statistics & Tracking
Affiliate program
Conversion and usertracking via Google Tag Manager
Track device being used
| Item number | Size | Datasheet | Manual | SDS | Delivery time | Quantity | Price |
|---|---|---|---|---|---|---|---|
| 600-401-AS5 | 100 µg | - | - |
6 - 10 business days* |
848.00€
|
If you have any questions, please use our Contact Form.
You can also order by e-mail: info@biomol.com
Larger quantity required? Request bulk
You can also order by e-mail: info@biomol.com
Larger quantity required? Request bulk
Anti-DAPK2 Antibody was affinity purified from monospecific antiserum by immunoaffinity... more
Product information "Anti-DAPK2"
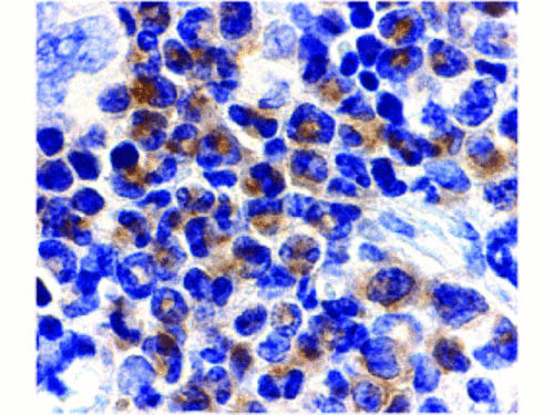
Anti-DAPK2 Antibody was affinity purified from monospecific antiserum by immunoaffinity chromatography. DAPK2 has no cross responses to DAPK1. Protein function: Calcium/calmodulin-dependent serine/threonine kinase involved in multiple cellular signaling pathways that trigger cell survival, apoptosis, and autophagy. Regulates both type I apoptotic and type II autophagic cell deaths signal, depending on the cellular setting. The former is caspase-dependent, while the latter is caspase-independent and is characterized by the accumulation of autophagic vesicles. Acts as a mediator of anoikis and a suppressor of beta-catenin-dependent anchorage-independent growth of malignant epithelial cells. May play a role in granulocytic maturation. [The UniProt Consortium]
| Keywords: | Anti-DAPK2, Anti-DRP-1, EC=2.7.11.1, Anti-DAP kinase 2, Anti-DAP-kinase-related protein 1, Anti-Death-associated protein kinase 2 |
| Supplier: | Rockland Immunochemicals |
| Supplier-Nr: | 600-401-AS5 |
Properties
| Application: | ELISA, IHC, WB |
| Antibody Type: | Polyclonal |
| Conjugate: | No |
| Host: | Rabbit |
| Species reactivity: | human, mouse, rat |
| Immunogen: | Peptide corresponding to amino acids near the C-terminus of human DAPK2. The sequence of. This antigenic peptide is identical to the corresponding amino acids of mouse origin (1,2). |
| Format: | Purified |
Database Information
| KEGG ID : | K08803 | Matching products |
| UniProt ID : | Q9UIK4 | Matching products |
| Gene ID : | GeneID 23604 | Matching products |
Handling & Safety
| Storage: | -20°C |
| Shipping: | -20°C (International: -20°C) |
Caution
Our products are for laboratory research use only: Not for administration to humans!
Our products are for laboratory research use only: Not for administration to humans!
Information about the product reference will follow.
more
You will get a certificate here
Viewed